Здравствуйте, гость ( Вход | Регистрация )

Форум судебных медиков России
 
>

Заболевание легких

>
IVANNES
сообщение 12.08.2019 - 10:48
Сообщение #1


Опытный участник

Группа: СМЭ
Регистрация: 28.02.2015
Пользователь №: 41 483


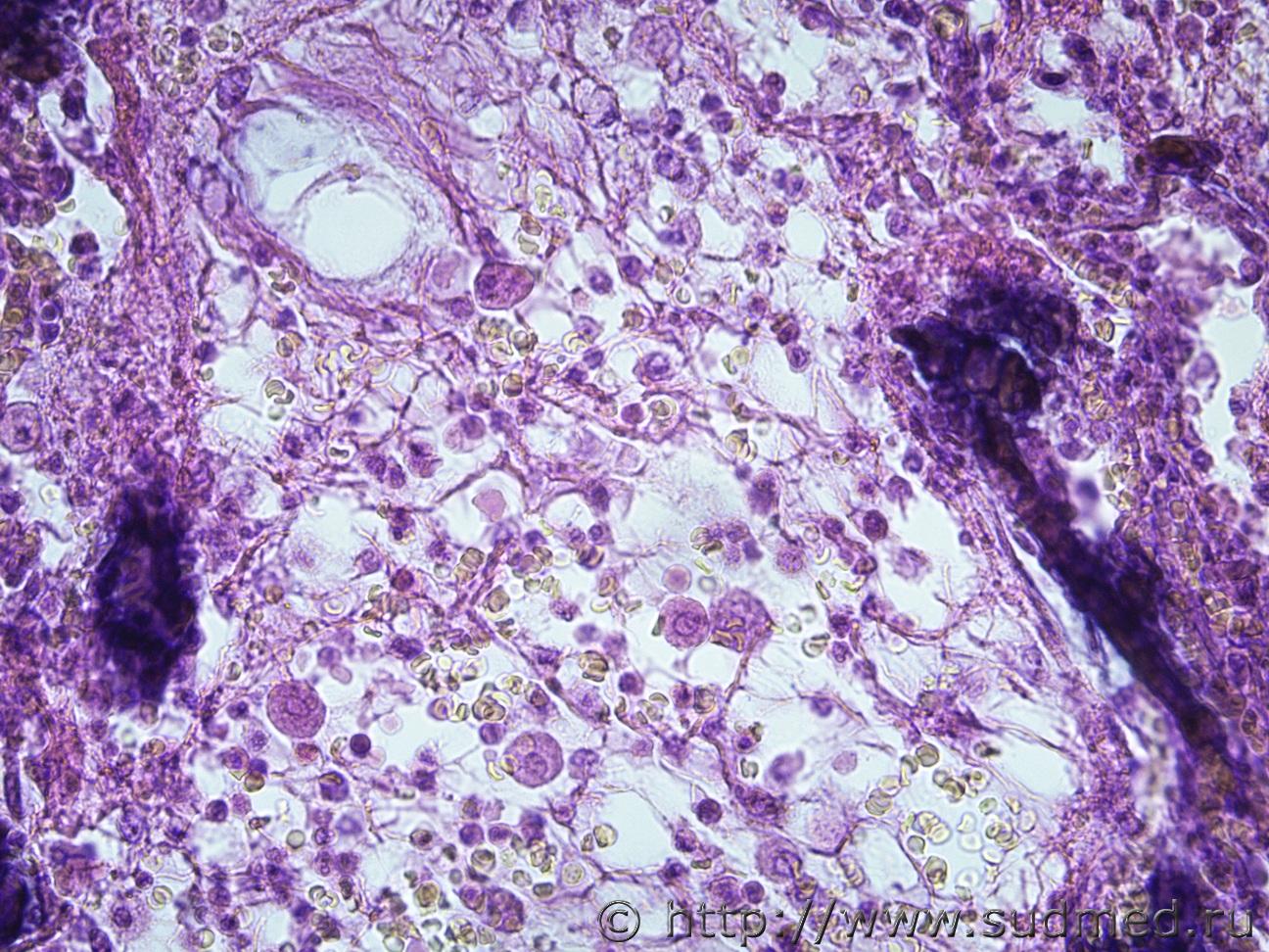
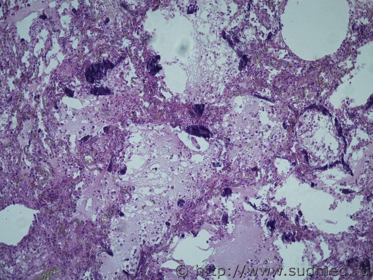
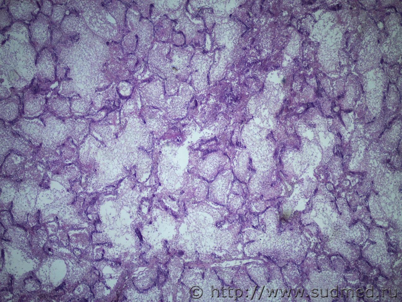
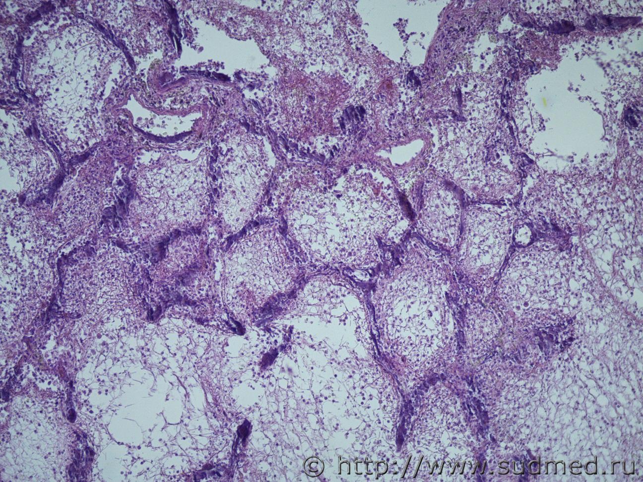
Ув. коллеги, нужна помощь, что это за заболевание легких? В атласе патологическая анатомия легких, нет не чего похожего. Это какое то диффузное паренхиматозное заболевание?. Жен 46 лет. Макро- Воздушность ткани верхних долей легких снижена, легочная ткань сиреневой окраски, образования диффузного характера беловато-сероватого цветы, плотные. По всем препаратам межальвеолярные перегородки инкрустированы известью. В просвете альвеол фибрин, лейкоциты, макрофаги.Судебная медицина - Прикрепленное изображение Судебная медицина - Прикрепленное изображениеСудебная медицина - Прикрепленное изображениеСудебная медицина - Прикрепленное изображениеСудебная медицина - Прикрепленное изображение
Судебная медицина - Прикрепленное изображениеСудебная медицина - Прикрепленное изображение
Пользователь offline
К началу страницы
+Ответить с цитированием
Anton
сообщение 12.08.2019 - 14:38
Сообщение #2


Мастер II

Группа: СМЭ
Регистрация: 6.12.2011
Из: Опорный край державы
Пользователь №: 30 279


Чем не Хаммена-Рича?
Пользователь offline
К началу страницы
+Ответить с цитированием
Медик
сообщение 12.08.2019 - 21:49
Сообщение #3


Учитель
Group Icon
Группа: Модераторы
Регистрация: 16.05.2010
Пользователь №: 21 553


В просвете альвеол в основном мицелий грибов.
Пользователь offline
К началу страницы
+Ответить с цитированием
Медик
сообщение 12.08.2019 - 21:56
Сообщение #4


Учитель
Group Icon
Группа: Модераторы
Регистрация: 16.05.2010
Пользователь №: 21 553


На втором фото похоже на ИФА (такие изменения могут быть и при РДС - ст.организации).

Пользователь offline
К началу страницы
+Ответить с цитированием
Медик
сообщение 12.08.2019 - 22:04
Сообщение #5


Учитель
Group Icon
Группа: Модераторы
Регистрация: 16.05.2010
Пользователь №: 21 553


Петрификаты в межальвеолярных перегородках могут быть следствием их некроза ( в прошлом ).
Пользователь offline
К началу страницы
+Ответить с цитированием
доктор морфолог
сообщение 14.08.2019 - 20:49
Сообщение #6


Мастер I

Группа: СМЭ
Регистрация: 5.12.2013
Пользователь №: 38 421


Уважаемый Медик, как всегда в точку попадает. Это грибковая пневмония или пневмония , вызванная грибковой инфекцией рода Nocardia и возможно микст инфекция. Покрасить бы по Гимзе!
Пользователь offline
К началу страницы
+Ответить с цитированием
IVANNES
сообщение 19.08.2019 - 14:15
Сообщение #7


Опытный участник

Группа: СМЭ
Регистрация: 28.02.2015
Пользователь №: 41 483


Всем огромное спасибо за участие)))
Пользователь offline
К началу страницы
+Ответить с цитированием




- Обратная связь Сейчас: 5.11.2025 - 00:10