Здравствуйте, гость ( Вход | Регистрация )

Форум судебных медиков России
 
>

Опухоль головного мозга

>
IVANNES
сообщение 28.08.2019 - 12:14
Сообщение #1


Опытный участник

Группа: СМЭ
Регистрация: 28.02.2015
Пользователь №: 41 483


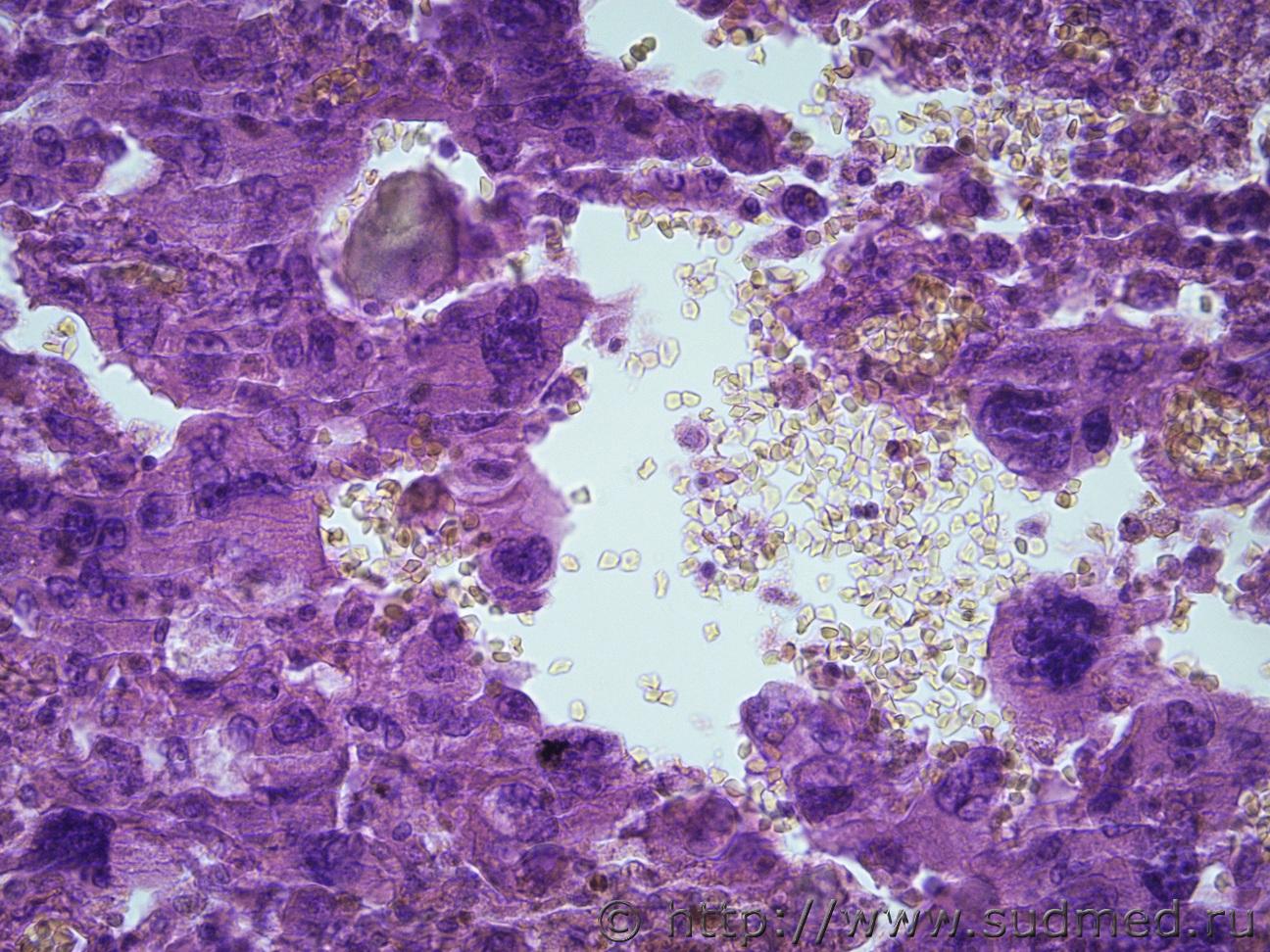
Ув. коллеги, сегодня в рубрике опухоль головного мозга. Муж 60 лет в лобной и теменной доле макро образования с кровоизлияниями; микро опухолевый рост под мягкой мозговой оболочкой и в толще вещества головного мозга. Судебная медицина - Прикрепленное изображение Судебная медицина - Прикрепленное изображениеСудебная медицина - Прикрепленное изображениеСудебная медицина - Прикрепленное изображениеСудебная медицина - Прикрепленное изображение
Судебная медицина - Прикрепленное изображениеСудебная медицина - Прикрепленное изображениеСудебная медицина - Прикрепленное изображение
Пользователь offline
К началу страницы
+Ответить с цитированием
Anton
сообщение 28.08.2019 - 19:46
Сообщение #2


Мастер II

Группа: СМЭ
Регистрация: 6.12.2011
Из: Опорный край державы
Пользователь №: 30 279


Какая злючка. Олигодендро... Без подсказки не разберу.
Пользователь offline
К началу страницы
+Ответить с цитированием
Медик
сообщение 28.08.2019 - 21:42
Сообщение #3


Учитель
Group Icon
Группа: Модераторы
Регистрация: 16.05.2010
Пользователь №: 21 553


Наверное,это глиобластома.
Пользователь offline
К началу страницы
+Ответить с цитированием
IVANNES
сообщение 29.08.2019 - 09:26
Сообщение #4


Опытный участник

Группа: СМЭ
Регистрация: 28.02.2015
Пользователь №: 41 483


Я тоже склоняюся к глиобластоме. Но так как видела ее всего один раз за время работы, чувствую не уверенность в себе)))). Спасибо всем участвующим в моих темах. Закидываю вас ими не ради развлечения, а накопления опыта.



Сообщение отредактировал IVANNES - 29.08.2019 - 09:26
Пользователь offline
К началу страницы
+Ответить с цитированием




- Обратная связь Сейчас: 10.11.2025 - 22:53