Здравствуйте, гость ( Вход | Регистрация )

Форум судебных медиков России
 
>

Метастазы в печени

>
IVANNES
сообщение 4.10.2019 - 09:53
Сообщение #1


Опытный участник

Группа: СМЭ
Регистрация: 28.02.2015
Пользователь №: 41 483


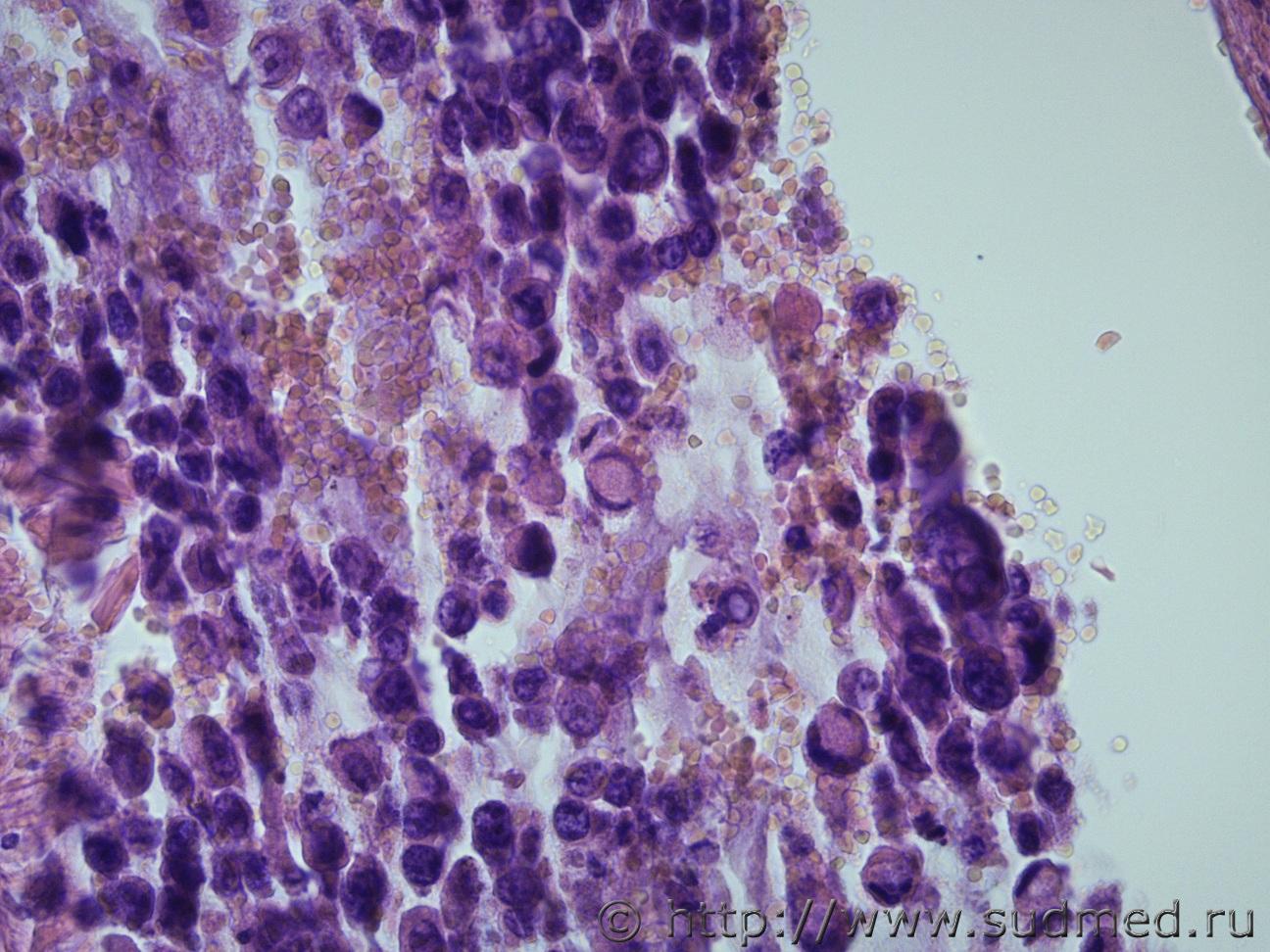
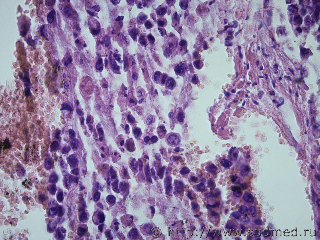
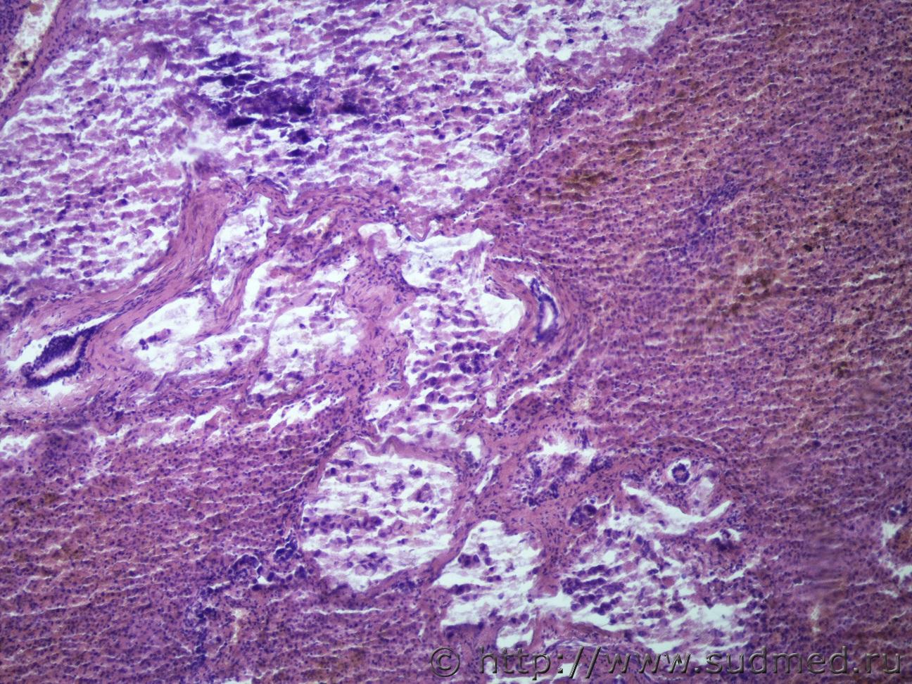
Ув. коллеги. Жен 60 лет. Образование в желудке и в печени. Материал взят не очень удачно, в желудке нечего нет. А в печени опухоль. Перстневидные клетки есть, но не много, местами озера слизи. Могу ли я в данном случая по метастазу поставить рак. Судебная медицина - Прикрепленное изображениеСудебная медицина - Прикрепленное изображениеСудебная медицина - Прикрепленное изображениеСудебная медицина - Прикрепленное изображение
Судебная медицина - Прикрепленное изображениеСудебная медицина - Прикрепленное изображениеСудебная медицина - Прикрепленное изображениеСудебная медицина - Прикрепленное изображение
Судебная медицина - Прикрепленное изображениеСудебная медицина - Прикрепленное изображениеСудебная медицина - Прикрепленное изображение
Пользователь offline
К началу страницы
+Ответить с цитированием
Anton
сообщение 4.10.2019 - 13:08
Сообщение #2


Мастер II

Группа: СМЭ
Регистрация: 6.12.2011
Из: Опорный край державы
Пользователь №: 30 279


Вполне можно. ПКР. Особенно если добавить окраску на слизь.
Пользователь offline
К началу страницы
+Ответить с цитированием
IVANNES
сообщение 4.10.2019 - 14:03
Сообщение #3


Опытный участник

Группа: СМЭ
Регистрация: 28.02.2015
Пользователь №: 41 483


Цитата(Anton @ 4.10.2019 - 13:08)
Вполне можно. ПКР. Особенно если добавить окраску на слизь.

К сожалению в нашем бюро окраски на слизь нет sad.gif . Только самое необходимое rolleyes.gif и очень скромно.
Пользователь offline
К началу страницы
+Ответить с цитированием
Anton
сообщение 4.10.2019 - 14:09
Сообщение #4


Мастер II

Группа: СМЭ
Регистрация: 6.12.2011
Из: Опорный край державы
Пользователь №: 30 279


Что может быть скромнее альциановой синьки. Только зеленка rotate.gif
Пользователь offline
К началу страницы
+Ответить с цитированием
IVANNES
сообщение 4.10.2019 - 14:30
Сообщение #5


Опытный участник

Группа: СМЭ
Регистрация: 28.02.2015
Пользователь №: 41 483


Цитата(Anton @ 4.10.2019 - 14:09)
Что может быть скромнее альциановой синьки. Только зеленка rotate.gif

Наличие только гематоксилин-эозина))) biggrin.gif, окраски на жир судан-4, на гликоген по Бесту

Цитата(IVANNES @ 4.10.2019 - 14:26)
Наличие только гематоксилин-эозина))) biggrin.gif, окраски на жир судан-4, на гликоген по Бесту

Заказали красители, но пока не пришли. Сидим с остатками))) Не подгадал, что все закончится, не успев начаться smile.gif
Пользователь offline
К началу страницы
+Ответить с цитированием
Медик
сообщение 5.10.2019 - 18:50
Сообщение #6


Учитель
Group Icon
Группа: Модераторы
Регистрация: 16.05.2010
Пользователь №: 21 553


Перстневидноклеточный рак.
Пользователь offline
К началу страницы
+Ответить с цитированием
доктор морфолог
сообщение 7.10.2019 - 13:15
Сообщение #7


Мастер I

Группа: СМЭ
Регистрация: 5.12.2013
Пользователь №: 38 421


Коллоидный( слизистый рак) , либо аденкарцинома с перстневидноклеточным типом.
Пользователь offline
К началу страницы
+Ответить с цитированием




- Обратная связь Сейчас: 6.11.2025 - 05:12