Здравствуйте, гость ( Вход | Регистрация )

Форум судебных медиков России
 
>

Энцефалит

>
IVANNES
сообщение 27.11.2020 - 13:05
Сообщение #1


Опытный участник

Группа: СМЭ
Регистрация: 28.02.2015
Пользователь №: 41 483


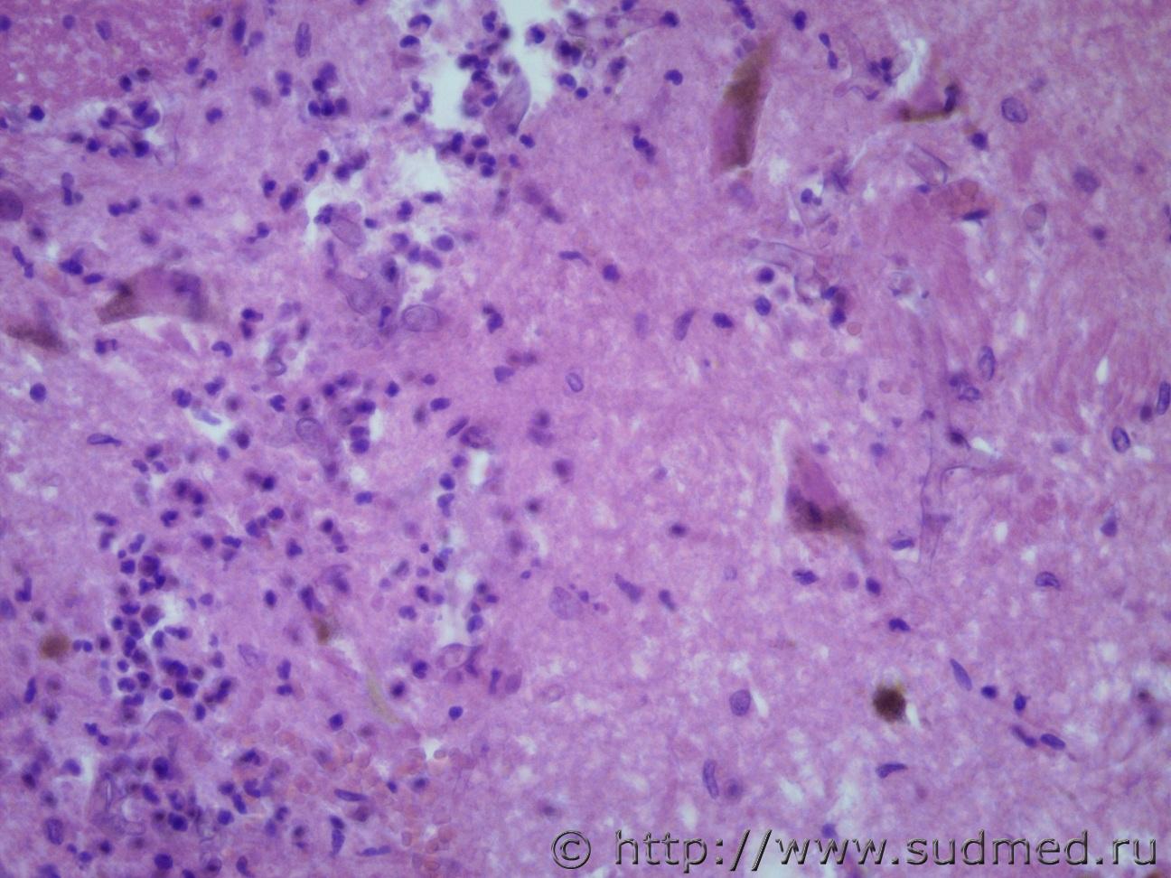
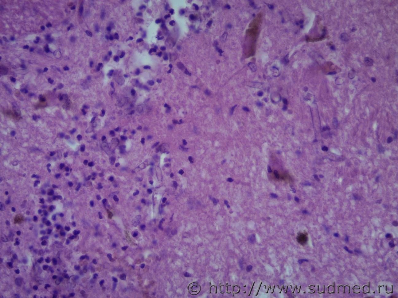
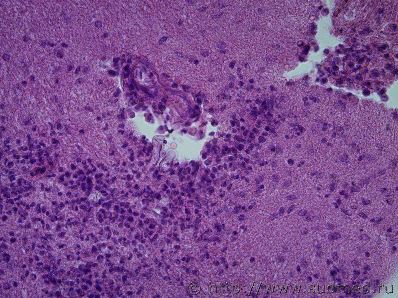
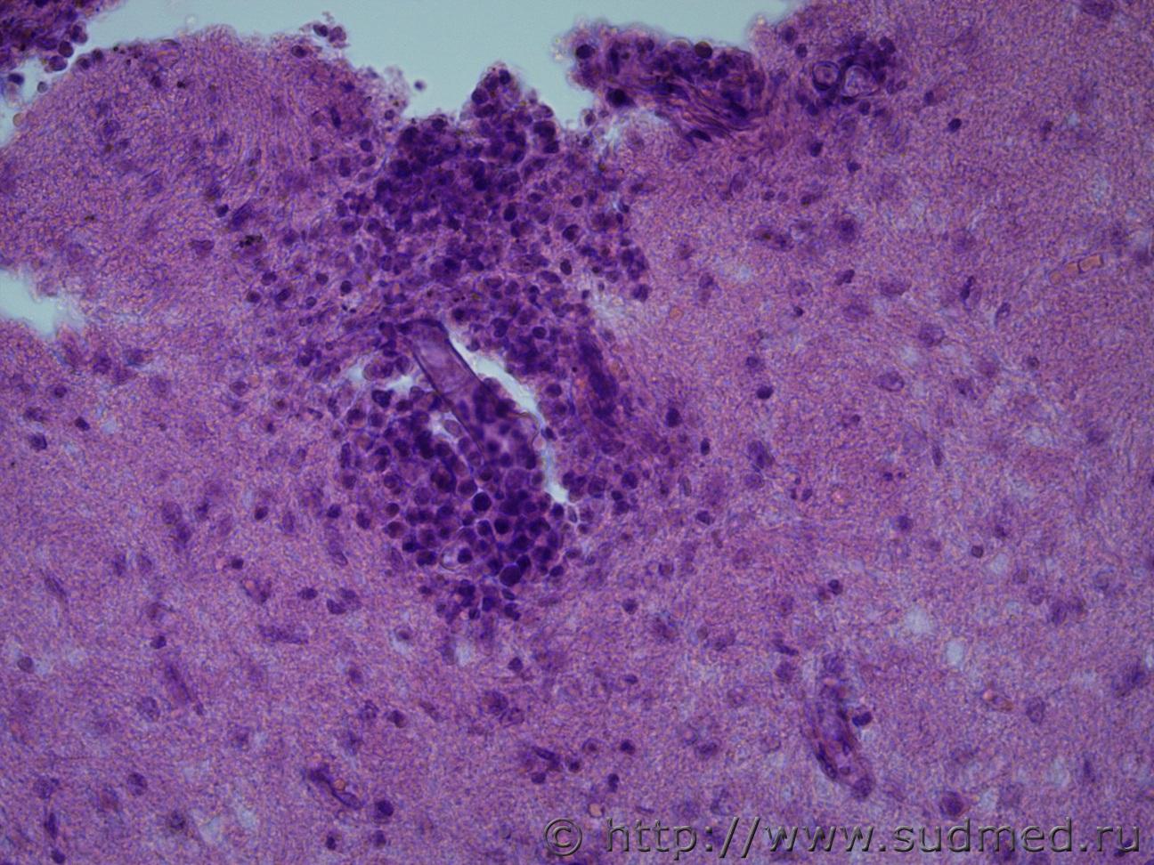
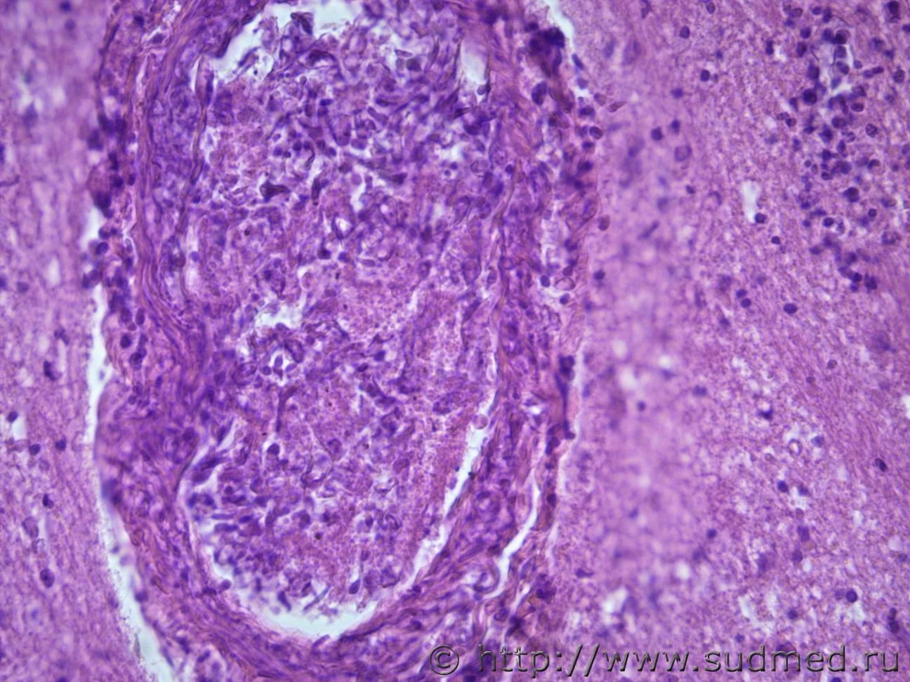
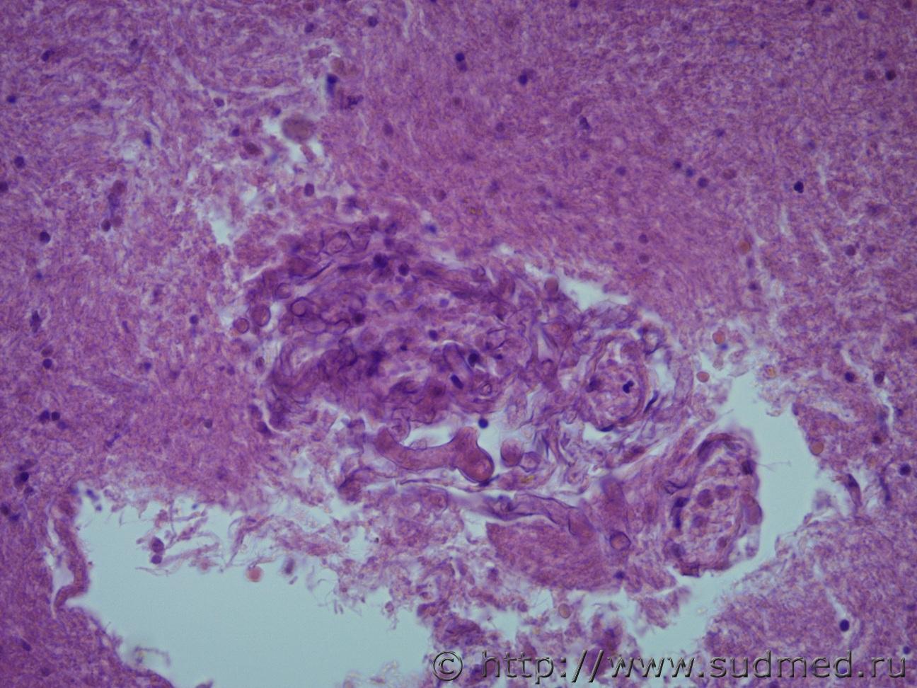
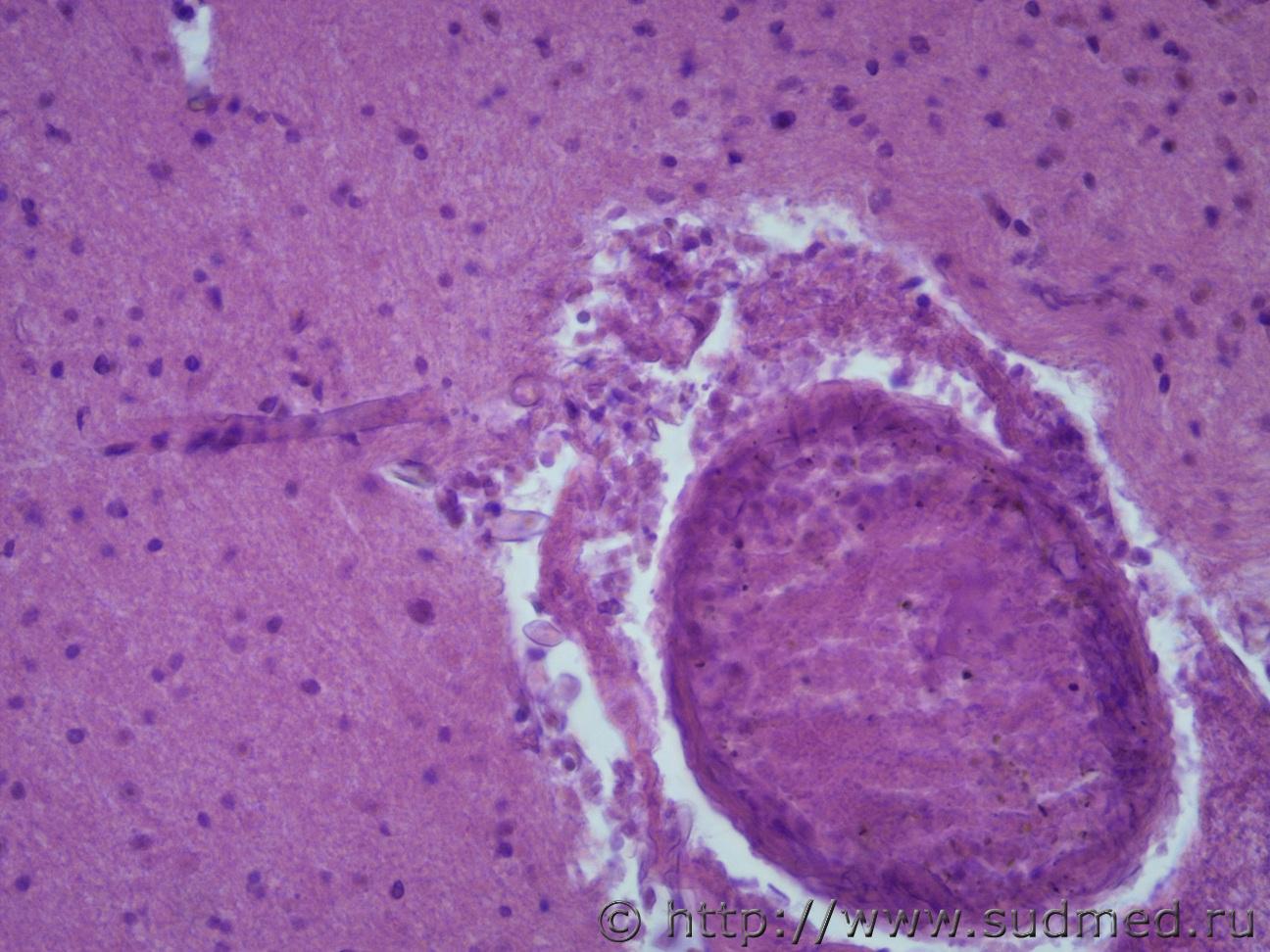
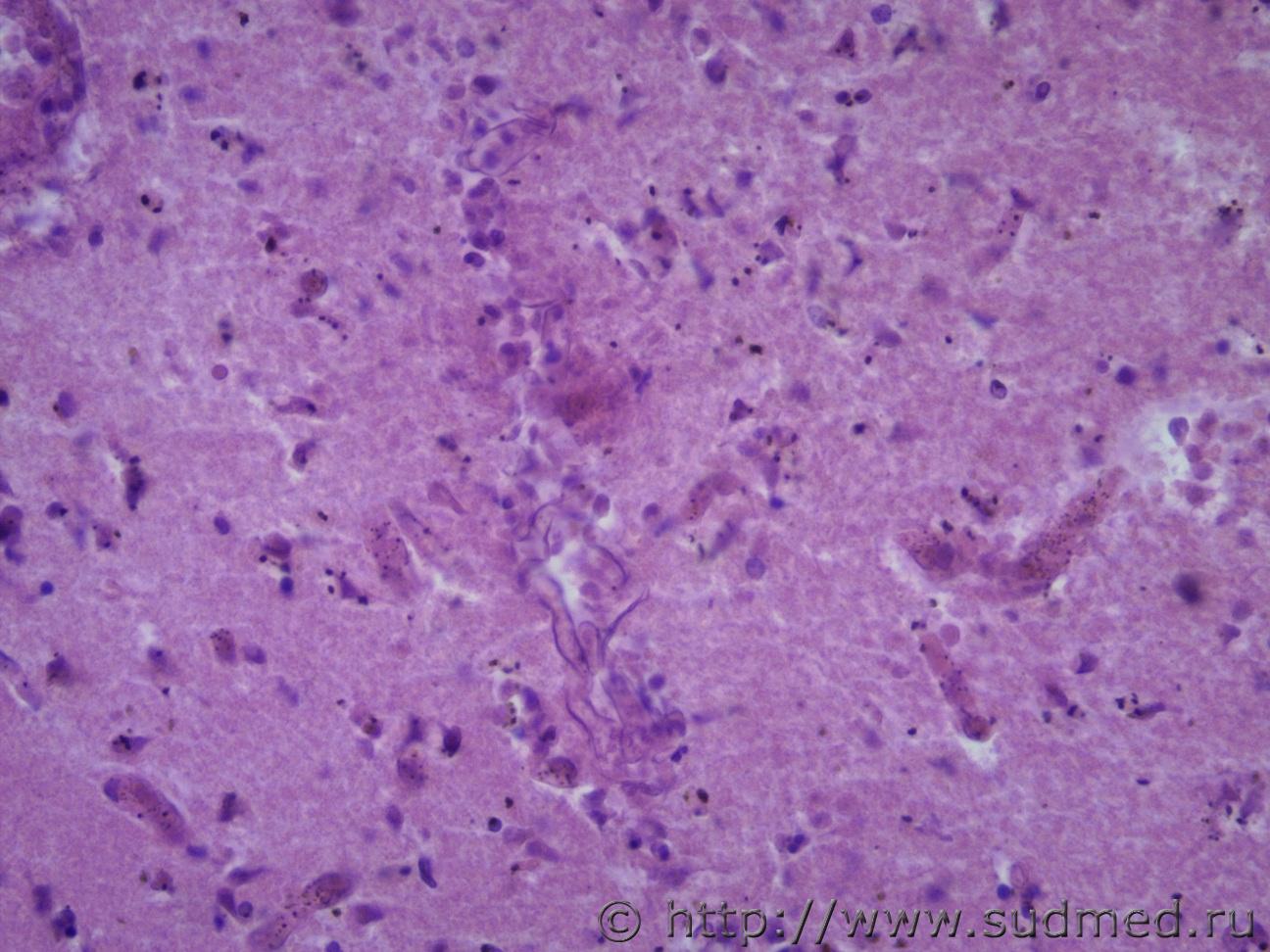
Ув. коллеги. Помогите с морфологией в головном мозге..... макро- в полюсе лобной доли участок размягчения ткани 5х1,5х1 см. Не могу понять что за полупрозрачные лентовидные включения в сосудах и просто в мозговой ткани (возможно паразитарное происхождение?). Данных не много. Молодой человек 33г. В стационаре выставлен диагноз б-нь Крона, перфорация толстого кишечника, каловый перитонит.Судебная медицина - Прикрепленное изображение Судебная медицина - Прикрепленное изображениеСудебная медицина - Прикрепленное изображениеСудебная медицина - Прикрепленное изображениеСудебная медицина - Прикрепленное изображение
Судебная медицина - Прикрепленное изображениеСудебная медицина - Прикрепленное изображениеСудебная медицина - Прикрепленное изображениеСудебная медицина - Прикрепленное изображение
Судебная медицина - Прикрепленное изображениеСудебная медицина - Прикрепленное изображениеСудебная медицина - Прикрепленное изображениеСудебная медицина - Прикрепленное изображение
Судебная медицина - Прикрепленное изображение
Пользователь offline
К началу страницы
+Ответить с цитированием
Anton
сообщение 27.11.2020 - 13:29
Сообщение #2


Мастер II

Группа: СМЭ
Регистрация: 6.12.2011
Из: Опорный край державы
Пользователь №: 30 279


Зигомикоз. В кишках тоже должно быть. Ну и опять иммунодефицит...
Пользователь offline
К началу страницы
+Ответить с цитированием
IVANNES
сообщение 27.11.2020 - 13:33
Сообщение #3


Опытный участник

Группа: СМЭ
Регистрация: 28.02.2015
Пользователь №: 41 483


Цитата(Anton @ 27.11.2020 - 13:29)
Зигомикоз. В кишках тоже должно быть. Ну и опять иммунодефицит...

К сожалению эксперт не взял кишку dry.gif и данных об иммунодефиците тоже нет rotate.gif
Пользователь offline
К началу страницы
+Ответить с цитированием
IVANNES
сообщение 27.11.2020 - 14:15
Сообщение #4


Опытный участник

Группа: СМЭ
Регистрация: 28.02.2015
Пользователь №: 41 483


Цитата(IVANNES @ 27.11.2020 - 13:33)
К сожалению эксперт не взял кишку dry.gif и данных об иммунодефиците тоже нет rotate.gif

Спасибо за помощь smile.gif
Пользователь offline
К началу страницы
+Ответить с цитированием
Anton
сообщение 27.11.2020 - 18:56
Сообщение #5


Мастер II

Группа: СМЭ
Регистрация: 6.12.2011
Из: Опорный край державы
Пользователь №: 30 279


Подождите компетентных коллег, не спешите по одному мнению.
Насчет что взял эксперт - складывается впечатление о фельдеширзме. Видимо, как в ковидарии - набирают всех, кто способен держать стакан секционный нож.
Пользователь offline
К началу страницы
+Ответить с цитированием
Медик
сообщение 27.11.2020 - 19:37
Сообщение #6


Учитель
Group Icon
Группа: Модераторы
Регистрация: 16.05.2010
Пользователь №: 21 553


Цитата(Anton @ 27.11.2020 - 14:29)
Зигомикоз.

Очень похоже.

Цитата(IVANNES @ 27.11.2020 - 14:33)
К сожалению эксперт не взял кишку

priso1.gif smile.gif
Пользователь offline
К началу страницы
+Ответить с цитированием
доктор морфолог
сообщение 27.11.2020 - 21:43
Сообщение #7


Мастер I

Группа: СМЭ
Регистрация: 5.12.2013
Пользователь №: 38 421


Цитата(Медик @ 27.11.2020 - 22:37)
Очень похоже.
priso1.gif smile.gif

Грибок ассоциированный энцефалит. Грибковые гифы, септы, сферулы имеют место в веществе г/м в местах инфильтрации(больше соотаетствует аспергиллозу).По Грокоту, РАS, по Грамму покрасить бы!

Сообщение отредактировал доктор морфолог - 27.11.2020 - 21:50
Пользователь offline
К началу страницы
+Ответить с цитированием
IVANNES
сообщение 28.11.2020 - 12:39
Сообщение #8


Опытный участник

Группа: СМЭ
Регистрация: 28.02.2015
Пользователь №: 41 483


Цитата(Anton @ 27.11.2020 - 18:56)
Подождите компетентных коллег, не спешите по одному мнению.
Насчет что взял эксперт - складывается впечатление о фельдеширзме. Видимо, как в ковидарии - набирают всех, кто способен держать стакан секционный нож.

Конечно я подожду еще комментариев))) вам спасибо, что всегда участвуете и не оставляете мои сообщения без внимания.
Пользователь offline
К началу страницы
+Ответить с цитированием
Любезный
сообщение 2.12.2020 - 15:47
Сообщение #9


Участник форума

Группа: Участники
Регистрация: 28.01.2008
Пользователь №: 7 218


Не было ли в анамнезе СД I типа? Есть ли в органах проявления диабетических осложнений (например, нефропатии)?
Пользователь offline
К началу страницы
+Ответить с цитированием




- Обратная связь Сейчас: 17.12.2025 - 06:19