Здравствуйте, гость ( Вход | Регистрация )

Форум судебных медиков России
 
>

Сердце

>
IVANNES
сообщение 15.10.2021 - 11:51
Сообщение #1


Опытный участник

Группа: СМЭ
Регистрация: 28.02.2015
Пользователь №: 41 483


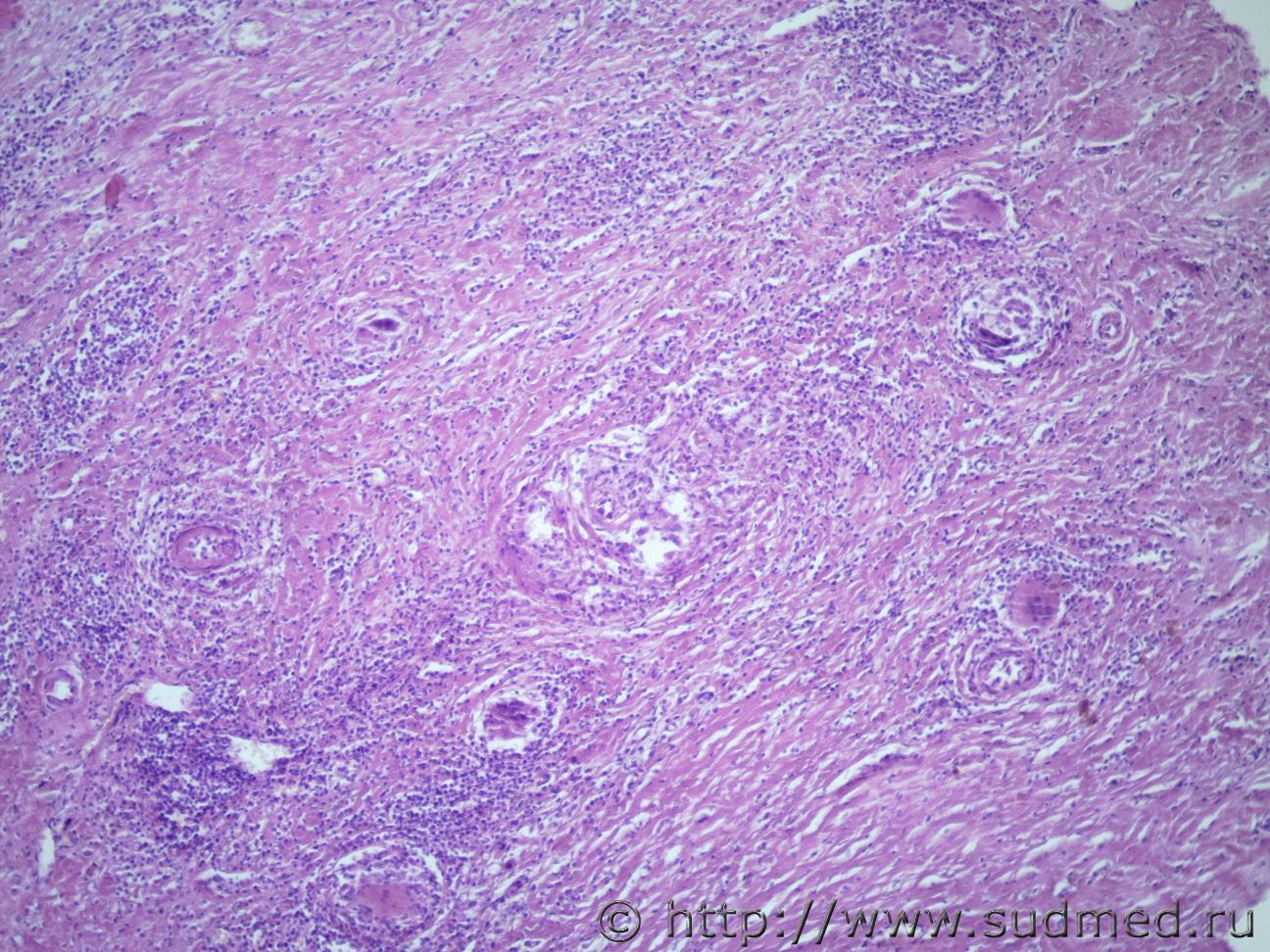
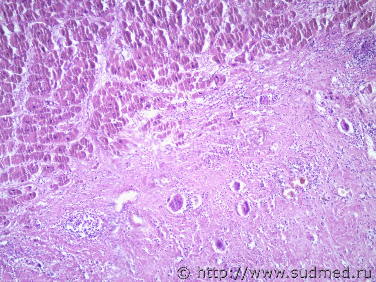
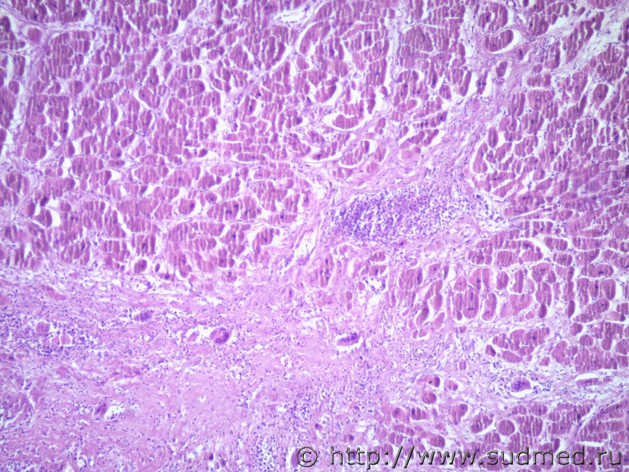
Добрый день. Нужна помощь. Женщ. 60 лет. Макроскопических данных (вес, размер) нет. Микро- выраженный кардиосклероз, с очагами круглоклеточной инфильтрации, крупными многоядерными клетками. В других органах без особенностей.

Сообщение отредактировал IVANNES - 15.10.2021 - 11:52


Эскизы прикрепленных изображений
Судебная медицина - Прикрепленное изображение Судебная медицина - Прикрепленное изображение Судебная медицина - Прикрепленное изображение Судебная медицина - Прикрепленное изображение
Пользователь offline
К началу страницы
+Ответить с цитированием
Anton
сообщение 15.10.2021 - 13:29
Сообщение #2


Мастер II

Группа: СМЭ
Регистрация: 6.12.2011
Из: Опорный край державы
Пользователь №: 30 279


Гранулематозный миокардит. Этиологию здесь не взять.
Пользователь offline
К началу страницы
+Ответить с цитированием
Медик
сообщение 15.10.2021 - 14:03
Сообщение #3


Учитель
Group Icon
Группа: Модераторы
Регистрация: 16.05.2010
Пользователь №: 21 553


Цитата(Anton @ 15.10.2021 - 14:29)
Гранулематозный миокардит. Этиологию здесь не взять.

Аналогично.
Пользователь offline
К началу страницы
+Ответить с цитированием
IVANNES
сообщение 18.10.2021 - 16:46
Сообщение #4


Опытный участник

Группа: СМЭ
Регистрация: 28.02.2015
Пользователь №: 41 483


Всем спасибо за участие)))
Пользователь offline
К началу страницы
+Ответить с цитированием
доктор морфолог
сообщение 23.10.2021 - 21:33
Сообщение #5


Мастер I

Группа: СМЭ
Регистрация: 5.12.2013
Пользователь №: 38 421


Цитата(IVANNES @ 18.10.2021 - 19:46)
Всем спасибо за участие)))

Системный гранулематоз с поражением миокарда. Однако, нужно красить по Циль Нильсену и т.д. и на АFC и исключить грибковый сепсис, саркоидоз !
Пользователь offline
К началу страницы
+Ответить с цитированием
Kvaker
сообщение 22.11.2021 - 20:45
Сообщение #6


Претендент

Группа: Участники
Регистрация: 23.11.2007
Из: Riga
Пользователь №: 6 573


Нет ответа. Нужно исслеловать органы и лимфоузлы. Я считаю предыдущие ответы некомпетентными, поверхностными и неочевидными.
Пользователь offline
К началу страницы
+Ответить с цитированием
Медик
сообщение 23.11.2021 - 23:14
Сообщение #7


Учитель
Group Icon
Группа: Модераторы
Регистрация: 16.05.2010
Пользователь №: 21 553


Топикстартера интересовали только микропрепараты сердца. Надо полагать, что диагностика изменений в др. органах не вызывала трудностей, а что касается лимфатических узлов, так их мог не взять танатолог.

Сообщение отредактировал Медик - 23.11.2021 - 23:15
Пользователь offline
К началу страницы
+Ответить с цитированием
доктор морфолог
сообщение 24.11.2021 - 11:21
Сообщение #8


Мастер I

Группа: СМЭ
Регистрация: 5.12.2013
Пользователь №: 38 421


Цитата(Kvaker @ 22.11.2021 - 23:45)
Нет ответа. Нужно исслеловать органы и лимфоузлы. Я считаю предыдущие ответы некомпетентными, поверхностными и неочевидными.

Уважаемый Kvaker! При генерализации скажем по типу милиарного тбс не обязательно л/у искать еще. Стоит только покрасить по Циль-Нильсену в каком бы органе они не были. Вы вообще не на языке патоморфолога или смэ или патанатома говорите!!! По вашему выводу много ума ненужно, чтобы догадаться о вашем уровне не профессионализма!!! Кстати от МВД РФ придет за вами. Я заяву накатал за вашу пошлые письма на личке!!! Если хотите я и сюда могу выложить то что вы писали на личку!!! Я предупреждаю чтобы с вами ОКН не случилось!!! Вы Forens M засорили, теперь Вы перешли в ФСМ что ли? Прекратите и будьте достойны как врач хотя бы!!! Вы пожалуйста своим неадекватным поведением не унижайтесь хотя бы в преклонном возрасте!
Пользователь offline
К началу страницы
+Ответить с цитированием




- Обратная связь Сейчас: 8.11.2025 - 11:06