Здравствуйте, гость ( Вход | Регистрация )

Форум судебных медиков России
2 страниц V  1 2 >  
>

поднадкостничный перелом ребра у ребенка 1 года

>
KIVKIV
сообщение 19.09.2022 - 16:33
Сообщение #1


Вновь прибывший

Группа: Участники
Регистрация: 17.09.2022
Пользователь №: 47 039


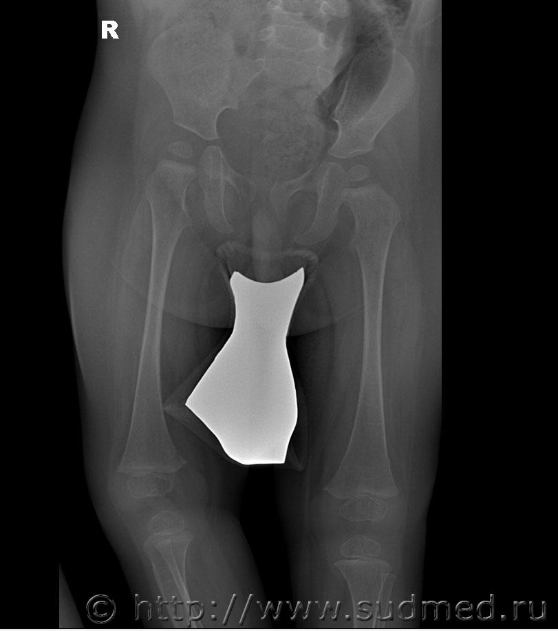
Добрый день, уважаемые коллеги. Нужна помощь в оценке степени тяжести поднадкостничного перелома нижней трети диафиза бедренной кости у ребенка 1 года. Судя по снимкам, перелом вколоченный. По версии следствия, перелом образовался во время массажа, ребенок лежал на животе, со слов массажиста в момент упора ребенка стопами в ладонь врача, при движении вперед в горизонтальном положении ребенок заплакал. В вертикальном положении при упоре стопами в пеленальный стол стал приподнимать больную ногу и плакать. снимки выполнены в тот же день. Рентгенолог изменений структуры кости на снимке не отмечает.
В анамнезе (в сроке 8 месяцев) задержка моторного развития (самостоятельно не сидит, не переворачивается). Перинатальный анамнез: вакуум-экстракция, слабое сосание в первые дни. Объективно: ... нормотоничен. ...Мышечный тонус диффузно снижен. Сухожильные рефлексы S=D, живые. Голову удерживает удовлетворительно ≈ с 4 месяцев. При тракции за руки группируется кратковременно. При вертикализации нет опоры. Заключение: Синдром диффузной мышечной гипотонии, гипоксически-ишемического генеза, перинатально обусловленный.
Если не очень качественные изображения, переделаю.
Рука не поднимается установить тяжкий вред здоровью.
Судебная медицина - Прикрепленное изображение Судебная медицина - Прикрепленное изображение

Сообщение отредактировал KIVKIV - 19.09.2022 - 16:38
Пользователь offline
К началу страницы
+Ответить с цитированием
MaxQuiet
сообщение 19.09.2022 - 17:04
Сообщение #2


Продвинутый участник

Группа: СМЭ
Регистрация: 17.07.2009
Из: Третий Рим
Пользователь №: 15 829


Цитата(KIVKIV @ 19.09.2022 - 16:33)

ы в тот же день. Рентгенолог изменений структуры кости на снимке не отмечает.
Судебная медицина - Прикрепленное изображение Судебная медицина - Прикрепленное изображение

Я рентгенолог не профессиональный и не детский, но перелома не вижу. Ограниченное тяжистое или симметрично-очаговое вспучивание компакты (отторжение надкостницы?) в супракондилярных зонах - местах крепления мышц голени.
Условий для образования "вколоченной зелёной веточки" затрудняюсь себе представить. Сокращение мускулатуры голени при одновременной фиксации конечности на массаже - могу представить.
Пользователь offline
К началу страницы
+Ответить с цитированием
Клокин
сообщение 19.09.2022 - 18:29
Сообщение #3


Мастер I

Группа: СМЭ
Регистрация: 23.01.2008
Из: Сибирь
Пользователь №: 7 163


Перелом есть. По типу "зеленой веточки", судя по симметричности, действительно вколоченный.
Пользователь offline
К началу страницы
+Ответить с цитированием
KIVKIV
сообщение 19.09.2022 - 20:49
Сообщение #4


Вновь прибывший

Группа: Участники
Регистрация: 17.09.2022
Пользователь №: 47 039


При таком объеме повреждения обосновано ли давать тяжкий вред?
Пользователь offline
К началу страницы
+Ответить с цитированием
Медик
сообщение 19.09.2022 - 21:17
Сообщение #5


Учитель
Group Icon
Группа: Модераторы
Регистрация: 16.05.2010
Пользователь №: 21 553


Цитата(KIVKIV @ 19.09.2022 - 17:33)

Рука не поднимается установить тяжкий вред здоровью.

А какая разница сколько потерпевшему лет (1 год или 20 лет) ?
Пользователь offline
К началу страницы
+Ответить с цитированием
Радомир
сообщение 19.09.2022 - 21:47
Сообщение #6


Мастер III
Group Icon
Группа: Модераторы
Регистрация: 30.11.2008
Из: Российская Федерация
Пользователь №: 11 273


Цитата
При таком объеме повреждения обосновано ли давать тяжкий вред?

Да. По формальному признаку: перелом диафиза бедренной кости. Легкий или средний вред Мед.критериями всерьез не обосновать.
Цитата
Перелом есть. По типу "зеленой веточки", судя по симметричности, действительно вколоченный.

Согласен.
Пользователь offline
К началу страницы
+Ответить с цитированием
MaxQuiet
сообщение 20.09.2022 - 08:09
Сообщение #7


Продвинутый участник

Группа: СМЭ
Регистрация: 17.07.2009
Из: Третий Рим
Пользователь №: 15 829


Цитата(Клокин @ 19.09.2022 - 18:29)
Перелом есть. По типу "зеленой веточки", судя по симметричности, действительно вколоченный.

Для моего развития: подскажите, какой механизм у этой травмы?
Почему не укладывается в голове: наверняка при осевой нагрузке на бедренную кость должно быть некое повреждение ив точках приложения сил? Во вводном посте ни слова, что в локальном статусе отмечен хотя бы кровоподтёк.
Пользователь offline
К началу страницы
+Ответить с цитированием
Anton
сообщение 20.09.2022 - 11:35
Сообщение #8


Мастер II

Группа: СМЭ
Регистрация: 6.12.2011
Из: Опорный край державы
Пользователь №: 30 279


KIVKIV, пусть сделают 2 проекции второго бедра для сравнения. Может это перихондральная манжетка
Пользователь offline
К началу страницы
+Ответить с цитированием
KIVKIV
сообщение 20.09.2022 - 12:10
Сообщение #9


Вновь прибывший

Группа: Участники
Регистрация: 17.09.2022
Пользователь №: 47 039


Цитата(MaxQuiet @ 20.09.2022 - 08:09)
Для моего развития: подскажите, какой механизм у этой травмы?
Почему не укладывается в голове: наверняка при осевой нагрузке на бедренную кость должно быть некое повреждение ив точках приложения сил? Во вводном посте ни слова, что в локальном статусе отмечен хотя бы кровоподтёк.

Добрый день, наружных повреждений не было.
Пользователь offline
К началу страницы
+Ответить с цитированием
KIVKIV
сообщение 20.09.2022 - 12:15
Сообщение #10


Вновь прибывший

Группа: Участники
Регистрация: 17.09.2022
Пользователь №: 47 039


Цитата(Anton @ 20.09.2022 - 11:35)
KIVKIV, пусть сделают 2 проекции второго бедра для сравнения. Может это перихондральная манжетка

Это те же снимки, не обрезанные.


Эскизы прикрепленных изображений
Судебная медицина - Прикрепленное изображение Судебная медицина - Прикрепленное изображение
Пользователь offline
К началу страницы
+Ответить с цитированием
KIVKIV
сообщение 20.09.2022 - 12:28
Сообщение #11


Вновь прибывший

Группа: Участники
Регистрация: 17.09.2022
Пользователь №: 47 039


Цитата(MaxQuiet @ 20.09.2022 - 08:09)
Для моего развития: подскажите, какой механизм у этой травмы?
Почему не укладывается в голове: наверняка при осевой нагрузке на бедренную кость должно быть некое повреждение ив точках приложения сил? Во вводном посте ни слова, что в локальном статусе отмечен хотя бы кровоподтёк.

При обращении в травмпункт нижней трети правого бедра и коленного сустава - отек мягких тканей, болезненность при пальпации (ребенок плачет). На момент первичной экспертизы при осмотре бедро в гипсовой лонгете.
Показания массажиста, которые подтверждают родственники: "После моего приезда, сразу же приступила к процессу массажа в присутствии матери ребёнка. Процесс массажа начался с разогрева мышц посредством поглаживания, растирания всего тела, кроме головы, живота, поясничного отдела, шеи. Второй этап массажа, упражнения, направленные на приобретение навыков самостоятельного переворачивания со спины на живот, и отталкивание ногами лёжа на животе от моих рук. Следующий этап происходил сидя на столе спиной ко мне, с целью укрепления мышц спины. После чего я положила ребёнка на стол животом вниз для того чтобы, ребёнок осуществил попытку оттолкнуться от моих рук и в этот момент заплакал, и я передала его маме, для того чтобы она его успокоила, и процесс массажа более не продолжался… "
Пользователь offline
К началу страницы
+Ответить с цитированием
KIVKIV
сообщение 20.09.2022 - 12:34
Сообщение #12


Вновь прибывший

Группа: Участники
Регистрация: 17.09.2022
Пользователь №: 47 039


Цитата(MaxQuiet @ 19.09.2022 - 17:04)
Я рентгенолог не профессиональный и не детский, но перелома не вижу. Ограниченное тяжистое или симметрично-очаговое вспучивание компакты (отторжение надкостницы?) в супракондилярных зонах - местах крепления мышц голени.
Условий для образования "вколоченной зелёной веточки" затрудняюсь себе представить. Сокращение мускулатуры голени при одновременной фиксации конечности на массаже - могу представить.

Честно говоря, какого -либо уплотнения губчатого вещества я тоже не вижу, возможно Вы правы по поводу отторжения надкостницы. Но две консультации рентгенологов указывают на перелом. Думаю нужна консультация снимков детским травматологом-ортопедом с привлечением рентгенолога.
Пользователь offline
К началу страницы
+Ответить с цитированием
MaxQuiet
сообщение 20.09.2022 - 14:37
Сообщение #13


Продвинутый участник

Группа: СМЭ
Регистрация: 17.07.2009
Из: Третий Рим
Пользователь №: 15 829


Цитата(KIVKIV @ 19.09.2022 - 16:33)
... снимки выполнены в тот же день.
Рентгенолог изменений структуры кости на снимке не отмечает...

Цитата(KIVKIV @ 20.09.2022 - 12:34)
...две консультации рентгенологов указывают на перелом. Думаю нужна консультация снимков детским травматологом-ортопедом с привлечением рентгенолога.

Противоречивые сведения. Если разные рентгенологи видят разное, то вы правы - нужна ещё консультация.
Цитата(KIVKIV @ 20.09.2022 - 12:28)
При обращении в травмпункт нижней трети правого бедра и коленного сустава - отек мягких тканей, болезненность при пальпации (ребенок плачет)… "

A разве у нас речь не шла о рентген-снимке левого бедра?
Впрочем, в нижней трети правого бедра край тени кости тоже не вполне идеально ровный.
Кроме того, даже если допустить, что сил у массажистки предостаточно для причинения вколоченного перелома бедра, то, как я предполагал бы, он должен сопровождаться более грубыми повреждениями мягких тканей.

Сообщение отредактировал MaxQuiet - 20.09.2022 - 14:40
Пользователь offline
К началу страницы
+Ответить с цитированием
MaxQuiet
сообщение 20.09.2022 - 14:54
Сообщение #14


Продвинутый участник

Группа: СМЭ
Регистрация: 17.07.2009
Из: Третий Рим
Пользователь №: 15 829


Цитата(KIVKIV @ 20.09.2022 - 12:15)
Это те же снимки, не обрезанные.

Извиняюсь, что не по топику.
Способ съёмки, при котором нижняя часть левой голени чуть ли не на 180° супинируется относительно верхней части руками удерживающего, - считаю варварским.
Хотя, может быть, и не совсем не по топику.

Сообщение отредактировал MaxQuiet - 20.09.2022 - 14:56
Пользователь offline
К началу страницы
+Ответить с цитированием
Anton
сообщение 20.09.2022 - 18:31
Сообщение #15


Мастер II

Группа: СМЭ
Регистрация: 6.12.2011
Из: Опорный край державы
Пользователь №: 30 279


Вы правы, максимально привлекайте консультантов. Перелом при указанных обстоятельствах может быть только патологическим.
Пользователь offline
К началу страницы
+Ответить с цитированием

2 страниц V  1 2 >



- Обратная связь Сейчас: 8.11.2025 - 07:05