Здравствуйте, гость ( Вход | Регистрация )

Форум судебных медиков России
2 страниц V  1 2 >  
>

Переломы шиловидных отростков височных костей, Определение механизма

>
ai_lasur
сообщение 29.01.2024 - 20:17
Сообщение #1


Новичок

Группа: Участники
Регистрация: 14.12.2023
Пользователь №: 47 218


Здравствуйте, коллеги. Хочу обсудить случай и узнать ваше мнение о травме.
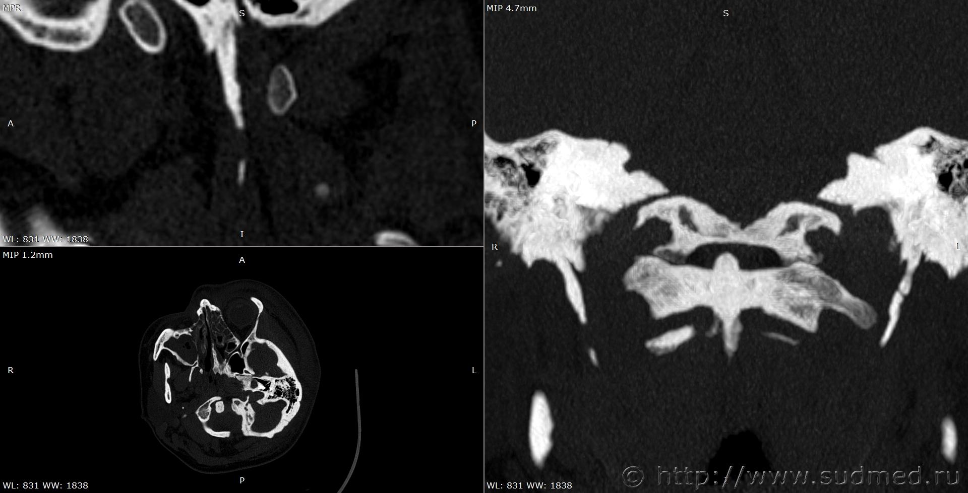
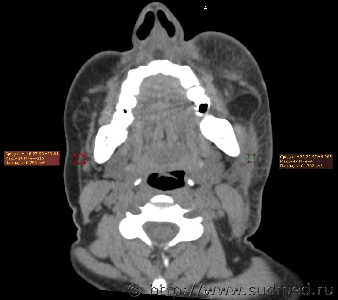
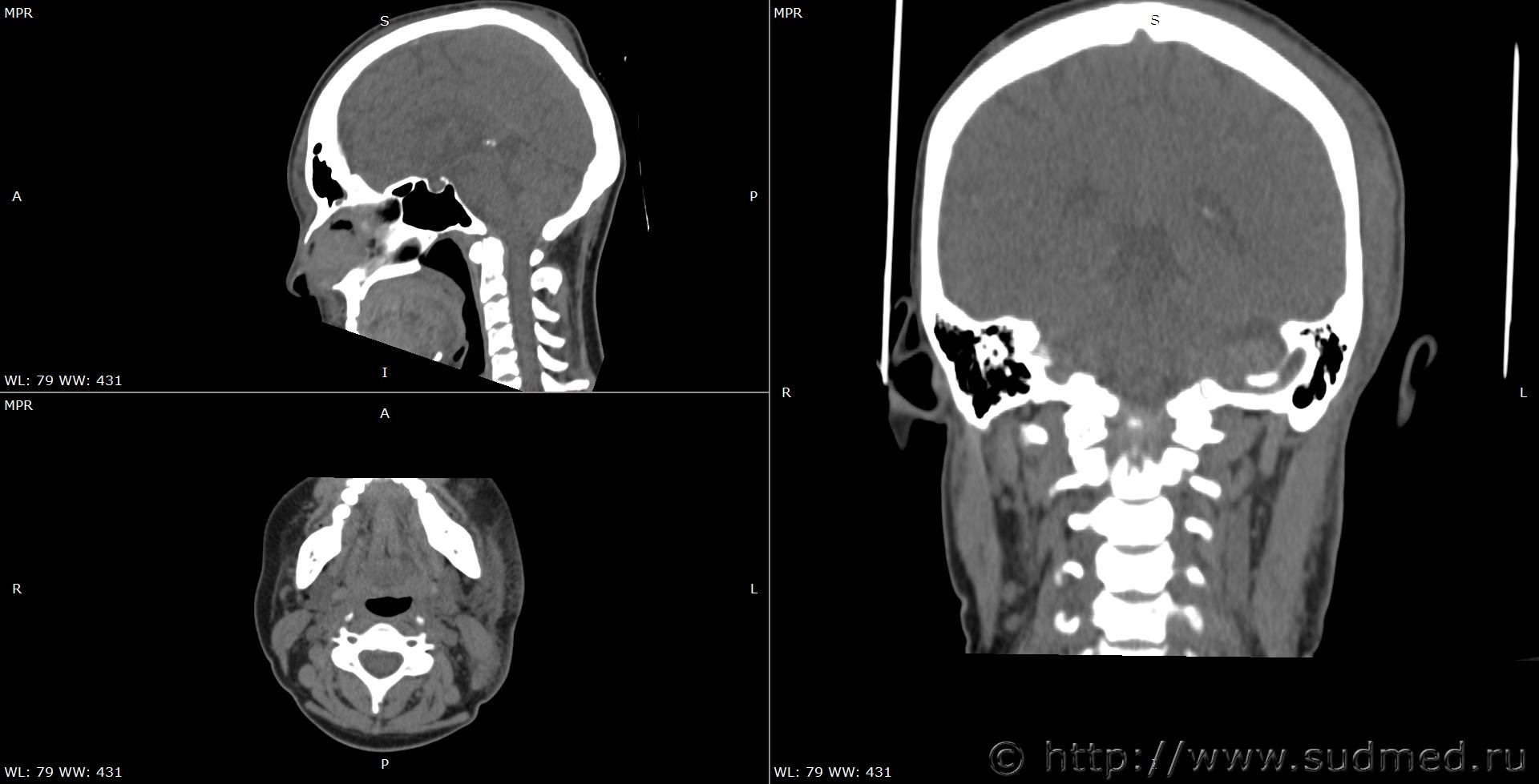
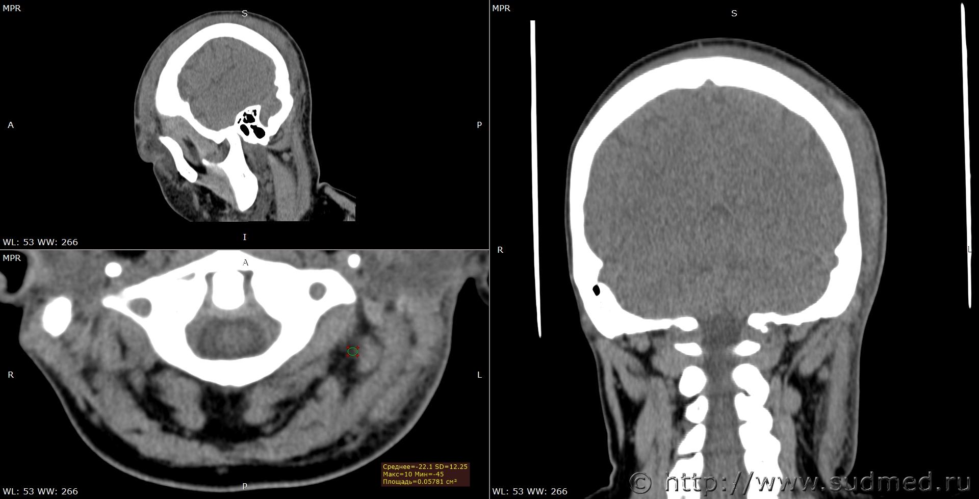
При экспертизе живого лица по медицинским документам встретились переломы шиловидных отростков височных костей. Женщина 39 лет, обратилась за медицинской помощью на 5-е сутки после травмы, тогда же провели РКТ. До этого никуда не обращалась. В протоколе РКТ отметили перелом шиловидного отростка левой височной кости, на снимках перелом на границе верхней и средней трети, дистальный отломок слегка смещен кпереди, каких-либо признаков заживления нет. Длина отростка 2,19 см. Судебная медицина - Прикрепленное изображение Также на КТ визуализируется перелом шиловидного отростка правой височной кости в нижней трети с выраженным смещением, думаю, отрывного характера (его длина 2,01 см), также без каких-либо признаков заживления Судебная медицина - Прикрепленное изображение; и гематома теменной области слева с переходом, в частности, на левую височную область, область левого сосцевидного отростка, левые околоушно-жевательную и скуловую области, левую боковую поверхность шеи Судебная медицина - Прикрепленное изображение, увеличение в объеме, нечеткость контура и разволокнение левой грудино-ключично-сосцевидной мышцы и левой ременной мышцы головы в верхней трети Судебная медицина - Прикрепленное изображение, вокруг них, в том числе кнутри от ременной мышцы, повышение плотности ПЖК Судебная медицина - Прикрепленное изображение; такие же изменения плюс повышение плотности левой подкожной мышцы шеи Судебная медицина - Прикрепленное изображение, увеличение в объеме и нечеткость контура левой околоушной слюнной железы, левая жевательная мышца не изменена Судебная медицина - Прикрепленное изображение. У подъязычной кости вижу нарушения целостности левого большого рога, но окостенение не завершено, края четко не визуализируются, поэтому о характере нарушений целостности не могу судить. Судебная медицина - Прикрепленное изображение Судебная медицина - Прикрепленное изображение В осмотрах врачей какие-либо изменения в области шеи, изменения голоса, соответствующие жалобы не отмечены; на 6-е сутки выставили острый фарингит. Помимо этой травмы есть переломы костей носа, там ничего особенного.

В англоязычной литературе пишут, что шиловидные отростки височных костей ломаются от местного воздействия (описаны случаи перелома в результате удара в область угла нижней челюсти), от резкого разгибания и/или отведения в шейном отделе позвоночника при фиксированной подъязычной кости.

Моя теория - было воздействие в левую околоушно-жевательную и скуловую области и область шеи слева, удар/сдавление, перелом шиловидного отростка левой височной кости локальный, правой - конструкционный. Изменения слюнной железы и мышц шеи слева, на мой взгляд, нельзя объяснить натеканием крови.

Буду рада почитать ваши мнения. Возможно, у кого-то были похожие случаи, поделитесь, пожалуйста, как решили задачу)
Пользователь offline
К началу страницы
+Ответить с цитированием
barmen
сообщение 30.01.2024 - 07:18
Сообщение #2


Магистр форума

Группа: СМЭ
Регистрация: 30.10.2007
Пользователь №: 6 309


Цитата(ai_lasur @ 29.01.2024 - 20:17)
... от резкого разгибания и/или отведения в шейном отделе позвоночника при фиксированной подъязычной кости....

это из научно-фантастической литературы, наверное.

Локальное воздействие твёрдого тупого предмета
Пользователь offline
К началу страницы
+Ответить с цитированием
MaxQuiet
сообщение 30.01.2024 - 08:09
Сообщение #3


Продвинутый участник

Группа: СМЭ
Регистрация: 17.07.2009
Из: Третий Рим
Пользователь №: 15 829


А обстоятельства травмы пострадавшая хранит в тайне?
Кто-то ей зафиксировал подъязычную кость?
По срезам: шиловидные отростки какие-то тупоконечные. Подозрительна оссификация шило-подъязчных связок, что облегчает травирующему предмету возможность образовать перелом при воздействии на боковую область шеи.
Пользователь offline
К началу страницы
+Ответить с цитированием
ai_lasur
сообщение 30.01.2024 - 19:45
Сообщение #4


Новичок

Группа: Участники
Регистрация: 14.12.2023
Пользователь №: 47 218


Цитата(MaxQuiet @ 30.01.2024 - 08:09)
А обстоятельства травмы пострадавшая хранит в тайне?
Кто-то ей зафиксировал подъязычную кость?
По срезам: шиловидные отростки какие-то тупоконечные. Подозрительна оссификация шило-подъязчных связок, что облегчает травирующему предмету возможность образовать перелом при воздействии на боковую область шеи.


По обстоятельствам пострадавшая потеряла сознание после удара по голове, потом периодически приходила в себя и снова отключалась, пока ее избивали. Явку по запросу, к сожалению, не обеспечили.

Изменения левой подкожной мышцы шеи наводили на мысль об удушении, но так как эта мышца без фасции, возможно, эти изменения за счёт натека. Пока не решила, выносить их в травму или нет.

Пересмотрела снимки, признаков оссификации связок нет.
Пользователь offline
К началу страницы
+Ответить с цитированием
ai_lasur
сообщение 30.01.2024 - 19:55
Сообщение #5


Новичок

Группа: Участники
Регистрация: 14.12.2023
Пользователь №: 47 218


Цитата(barmen @ 30.01.2024 - 07:18)
это из научно-фантастической литературы, наверное.


Если интересно, могу дать источники и даже клинический случай. Там, правда, на фоне остеопороза, но при повороте головы.

В этом случае могло обойтись и без фиксации подъязычной кости, но отрывной перелом справа явно возник за счёт связи отростков с подъязычной костью. Так что такой механизм имеет право на существование)
Пользователь offline
К началу страницы
+Ответить с цитированием
Джек
сообщение 30.01.2024 - 20:55
Сообщение #6


Мастер II

Группа: СМЭ
Регистрация: 22.02.2006
Из: Сибирь
Пользователь №: 1 290


Цитата(ai_lasur @ 30.01.2024 - 23:55)
Там, правда, на фоне остеопороза, но при повороте головы.

при достаточно выраженном остеопорозе вообще от легкого воздействия может быть..а Вам зачем механизм-для интереса? формально по Критериям тяжкий уже можно выставлять, душил\не душил на сроке priso1.gif не скажется
Пользователь offline
К началу страницы
+Ответить с цитированием
barmen
сообщение 31.01.2024 - 06:53
Сообщение #7


Магистр форума

Группа: СМЭ
Регистрация: 30.10.2007
Пользователь №: 6 309


Цитата(ai_lasur @ 30.01.2024 - 19:55)
...В этом случае могло обойтись и без фиксации подъязычной кости, но отрывной перелом справа явно возник за счёт связи отростков с подъязычной костью...


Если отбросить по методу "бритвы Оккама" всё маловероятное, включая нападение инопланетян, то самым простым решением видится - сдавление органов шеи руками.
Пользователь offline
К началу страницы
+Ответить с цитированием
Клокин
сообщение 31.01.2024 - 09:41
Сообщение #8


Мастер I

Группа: СМЭ
Регистрация: 23.01.2008
Из: Сибирь
Пользователь №: 7 163


По поводу шиловидного отростка. Во-первых - просветление может быть и участком незарощения костной ткани между двумя участками окостенения и быть аномалией развития, а значит и "отклонение" может являться результатом имеющейся динамической подвижности, второе - какие признаки заращения? Разрешение не может быть меньше 0,5мм, но как правило, часто выставляют и 0,8 и 1,0мм, что не дает возможности оценить морфологию краев предполагаемого травматического повреждения костной ткани. Без наличия кровоизлияния в окружающих тканях (а это при использовании определенных программ для чтения томограмм, исследовать можно) судить нельзя. Мне регулярно попадаются заключения обычных рентгенологов, в которых они судят исходя из принципа "лучше перебдеть, чем не добздеть", а мне потом опровергать приходиться.
Пользователь offline
К началу страницы
+Ответить с цитированием
ai_lasur
сообщение 31.01.2024 - 18:19
Сообщение #9


Новичок

Группа: Участники
Регистрация: 14.12.2023
Пользователь №: 47 218


Цитата(Джек @ 30.01.2024 - 20:55)
а Вам зачем механизм-для интереса? формально по Критериям тяжкий уже можно выставлять, душил\не душил на сроке priso1.gif не скажется


И интересно, и вопрос о механизме образования имеется. Травма в наших краях редкая, коллеги с такой не сталкивались)

Расцениваю как лёгкий по длительности, перелом всё-таки никак не затрагивает внутреннюю костную пластинку черепа, и отломок жизненно важные структуры не задел.
Пользователь offline
К началу страницы
+Ответить с цитированием
ai_lasur
сообщение 31.01.2024 - 18:43
Сообщение #10


Новичок

Группа: Участники
Регистрация: 14.12.2023
Пользователь №: 47 218


Цитата(Клокин @ 31.01.2024 - 09:41)
По поводу шиловидного отростка. Во-первых - просветление может быть и участком незарощения костной ткани между двумя участками окостенения и быть аномалией развития, а значит и "отклонение" может являться результатом имеющейся динамической подвижности, второе - какие признаки заращения?


На снимке левого отростка в нем хорошо прослеживается губчатое вещество, и в области краев перелома признаков склероза нет. С правым сложнее, но картина в механизм укладывается. Изменения мышц шеи тоже. Поэтому склоняюсь к решению, что это именно травма.

Об аномалии и старом переломе думала, в том числе для этого запрашивала явку, чтобы выяснить, были ли какие-то симптомы. И можно было бы направить на РКТ в динамике. Но увы.

Попробую найти, как выглядит на КТ незавершённое окостенение шиловидного отростка, спасибо за наводку)

По толщине среза сейчас сказать не могу, домашний компьютер отказался показывать информацию о снимках. Про программы для определения кровоизлияний на КТ не слышала. Можете поделиться, чем пользуетесь?
Пользователь offline
К началу страницы
+Ответить с цитированием
ai_lasur
сообщение 1.02.2024 - 17:48
Сообщение #11


Новичок

Группа: Участники
Регистрация: 14.12.2023
Пользователь №: 47 218


Цитата(MaxQuiet @ 30.01.2024 - 08:09)
По срезам: шиловидные отростки какие-то тупоконечные. Подозрительна оссификация шило-подъязчных связок, что облегчает травирующему предмету возможность образовать перелом при воздействии на боковую область шеи.


Пересмотрела снимки после очередного раунда чтения литературы. Справа действительно больше похоже на оссификацию связки. Слева, скорее всего, тоже есть, перелом выше подозрительной области. Судебная медицина - Прикрепленное изображение Перелом справа снимаю. Большое спасибо за наводку!

Толщина срезов 1 мм, к слову.
Пользователь offline
К началу страницы
+Ответить с цитированием
Клокин
сообщение 1.02.2024 - 19:02
Сообщение #12


Мастер I

Группа: СМЭ
Регистрация: 23.01.2008
Из: Сибирь
Пользователь №: 7 163


Цитата(ai_lasur @ 31.01.2024 - 18:43)
На снимке левого отростка в нем хорошо прослеживается губчатое вещество, и в области краев перелома признаков склероза нет. ...

Что вы такое говорите?, какое губчатое вещество?! Если вы имеете ввиду просветление между двумя противоположными поверхностями стенок кортикального слоя это одно... если это так, то выражаетесь как специалист.... саму сетчатость губчатого вещества увидеть невозможно, по выше указанным причинам (т.к. септ с стенкой в 1 и более мм вы не найдете... Оставите попытки установить по томограмме факт перелома отростков и уж тем более, установить его детальный механизм... Когда-нибудь вы встретитесь в суде с специалистом достойного уровня и вам будет стыдно за каждое ваше необоснованное и притянутое за уши утверждение... К вашему счастью, спецов такого уровня применительно к судебке среди рентгенологов на пальцах одной руки в нашей стране хватит посчитать.... Не придумывайте того, что не сможете грамотно доказать....
Пользователь offline
К началу страницы
+Ответить с цитированием
ai_lasur
сообщение 2.02.2024 - 14:54
Сообщение #13


Новичок

Группа: Участники
Регистрация: 14.12.2023
Пользователь №: 47 218


Цитата(Клокин @ 1.02.2024 - 19:02)
Если вы имеете ввиду просветление между двумя противоположными поверхностями стенок кортикального слоя это одно...


Я имела в виду просветление, да. Как выяснилось, это вообще костномозговой канал. Прошу прощения за допущенную ошибку.

А по поводу остального сообщения - я лишь поделилась своими мыслями, чтобы почитать мнения со стороны, поскольку коллеги ничего подсказать не могут из-за отсутствия таких случаев в практике. Если бы не размышляла и не сомневалась, не написала бы сюда.

Я так понимаю, в сухом остатке Вы предлагаете отказаться от оценки изменений мягких тканей шеи и шиловидного отростка, поскольку они недостаточно убедительны?
Пользователь offline
К началу страницы
+Ответить с цитированием
MaxQuiet
сообщение 2.02.2024 - 15:48
Сообщение #14


Продвинутый участник

Группа: СМЭ
Регистрация: 17.07.2009
Из: Третий Рим
Пользователь №: 15 829


Цитата(ai_lasur @ 2.02.2024 - 14:54)
...в сухом остатке...

А вы какую экспертизу проводите? Комиссионную, с привлечением рентгенолога, лорика или челюстно-лицевого? Тогда, конечно, можно и все детали подробнейше разжевать.
А в условиях амбулатории лучше работать по имеющейся документации, при обнаружении в которой разночтений - безоговорочно рекомендовать проведение комиссионной экспертизы.
Слева - похоже, что перелом, но назвать анатомическое образование я затрудняюсь, потому что не вижу четкой границы, где заканчивается шиловидный отросток (в кадре - длинный и тупой), а где начинается связка. Дифференцировать повреждения по механизму (удар - сдавление) тоже бы воздержался, а то после ознакомления с выводами пострадавшая возьмет и вспомнит, как ей там фиксировали, пока она сознание теряла.
У вас в бюро шиловидный отросток считается основанием черепа, а его повреждение - тяжким?
Пользователь offline
К началу страницы
+Ответить с цитированием
Джек
сообщение 2.02.2024 - 17:01
Сообщение #15


Мастер II

Группа: СМЭ
Регистрация: 22.02.2006
Из: Сибирь
Пользователь №: 1 290


Цитата(ai_lasur @ 31.01.2024 - 22:19)


Расцениваю как лёгкий по длительности, перелом всё-таки никак не затрагивает внутреннюю костную пластинку черепа, и отломок жизненно важные структуры не задел.
внутреннюю пластинку черепа законодатель пристегнул только к своду, и при переломе основания никакой привязки к жизненно\нежизненно важным структурам- опять же в приказе нету unsure.gif
По всем анатомиям- отросток-часть кости, перелом отростка-это перелом кости, перелом данной кости законодатель четко отнес к тяжкому вреду здоровья, на каком основании вы считаете иначе, или вам вообще НПА РФ не указ? deal1.gif ? ну вот представьте что я адвокат противоположной стороны, опровергайте tongue.gif
Пользователь offline
К началу страницы
+Ответить с цитированием

2 страниц V  1 2 >



- Обратная связь Сейчас: 7.11.2025 - 22:38