Здравствуйте, гость ( Вход | Регистрация )

Форум судебных медиков России
 
>

опухоль печени

>
новичок014
сообщение 28.06.2025 - 09:59
Сообщение #1


Вновь прибывший

Группа: Участники
Регистрация: 22.06.2025
Пользователь №: 47 401


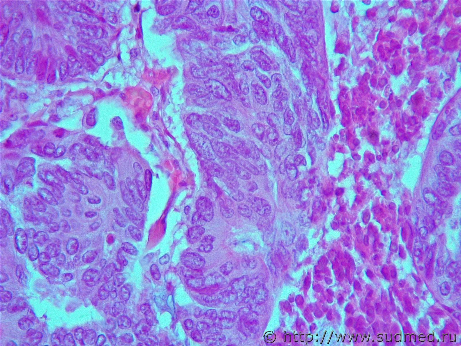
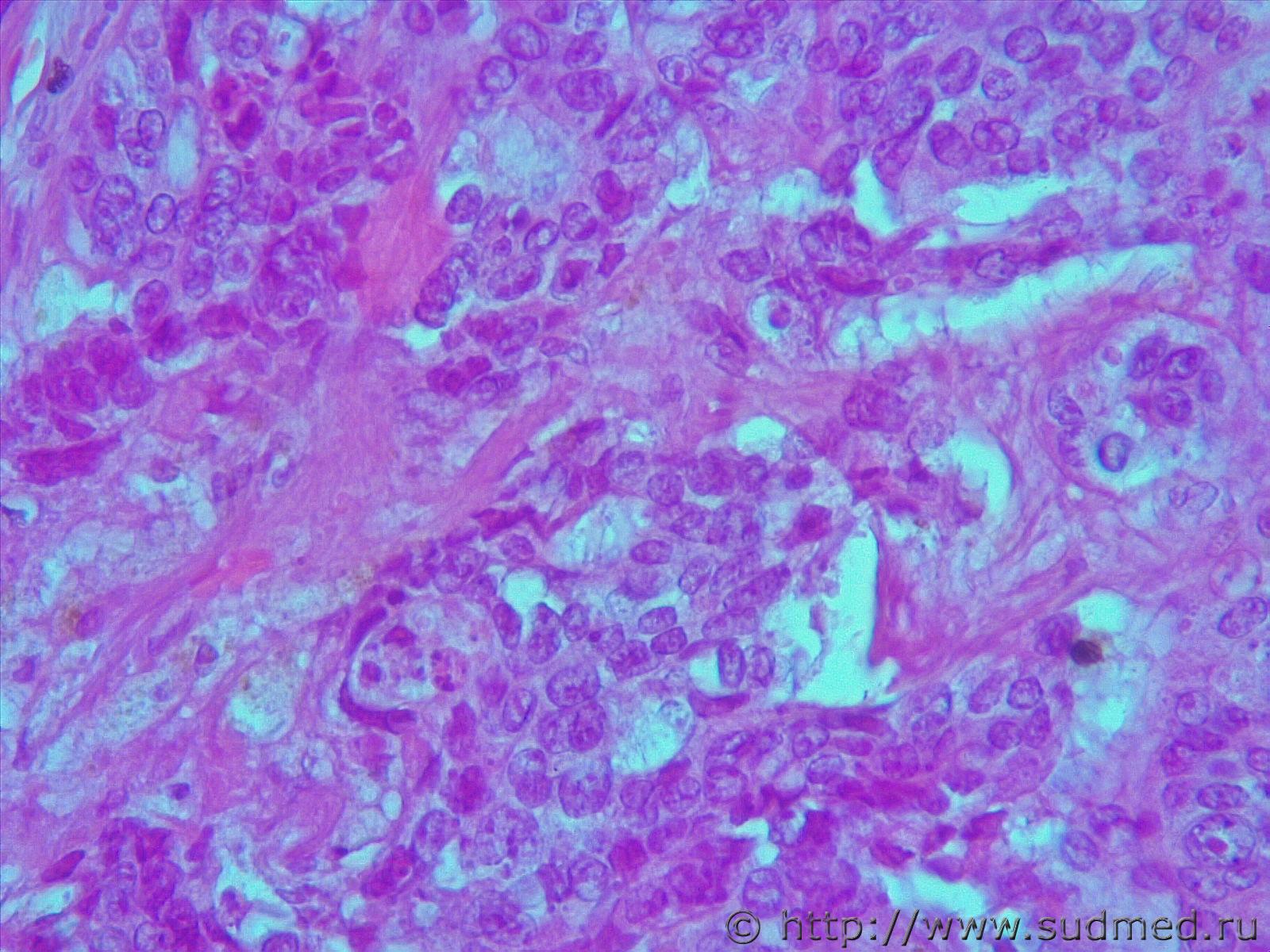
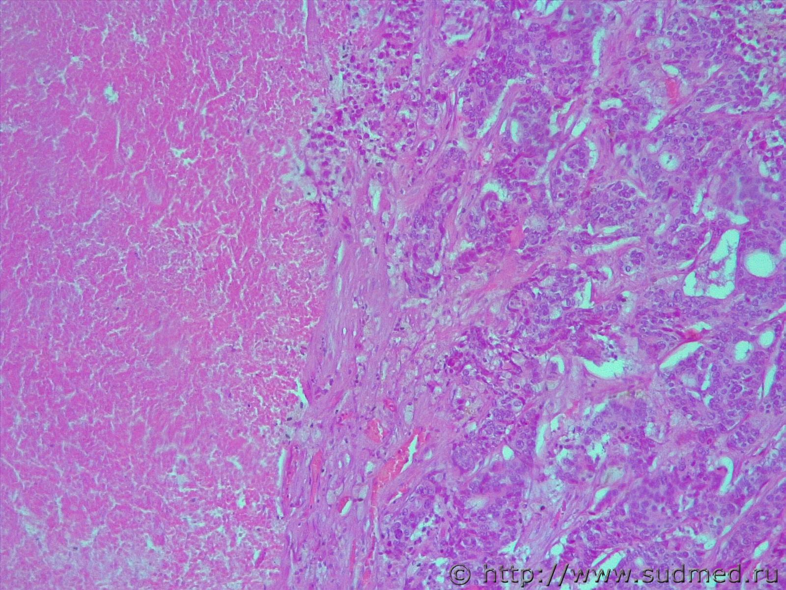
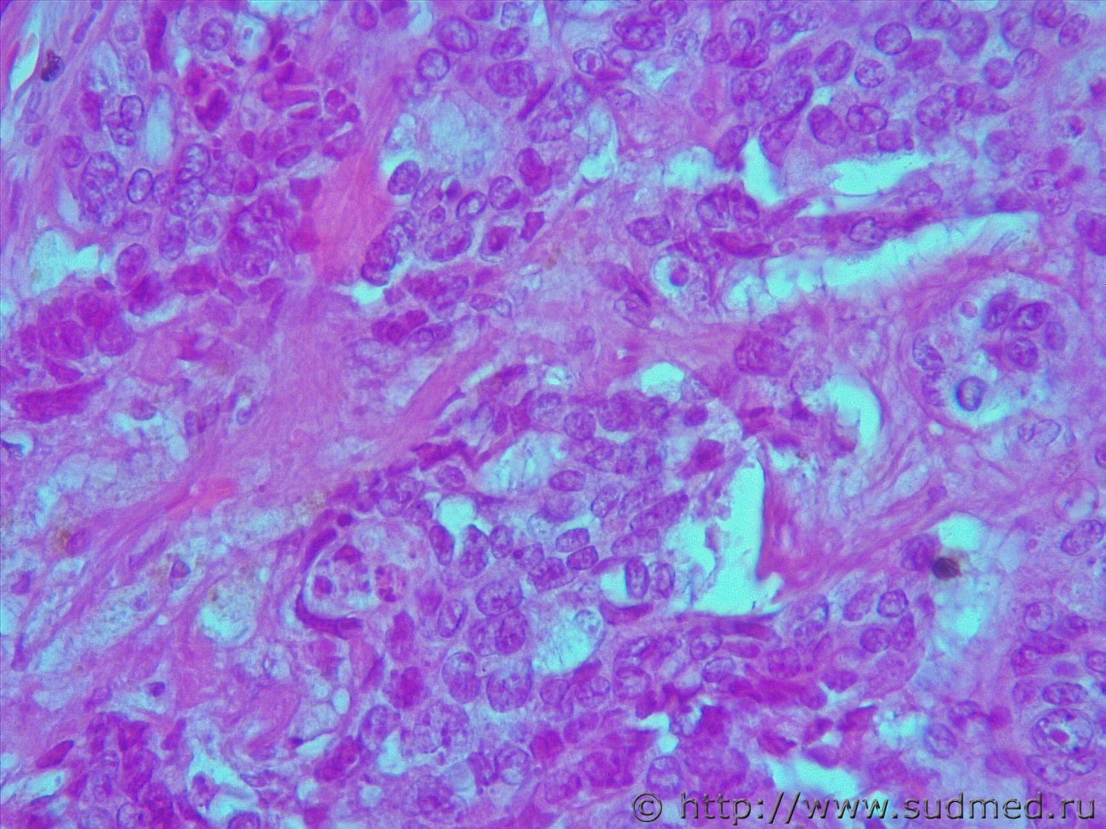
опухоль печени с метастазами в головной мозг, легкие


Эскизы прикрепленных изображений
Судебная медицина - Прикрепленное изображение Судебная медицина - Прикрепленное изображение Судебная медицина - Прикрепленное изображение Судебная медицина - Прикрепленное изображение Судебная медицина - Прикрепленное изображение
Пользователь offline
К началу страницы
+Ответить с цитированием
Anton
сообщение 28.06.2025 - 18:36
Сообщение #2


Мастер II

Группа: СМЭ
Регистрация: 6.12.2011
Из: Опорный край державы
Пользователь №: 30 279


Напоминает холангиокарциному
Пользователь offline
К началу страницы
+Ответить с цитированием
Медик
сообщение 29.06.2025 - 19:38
Сообщение #3


Учитель
Group Icon
Группа: Модераторы
Регистрация: 16.05.2010
Пользователь №: 21 553


Фото не увеличиваются.
Пользователь offline
К началу страницы
+Ответить с цитированием
Медик
сообщение 29.06.2025 - 19:45
Сообщение #4


Учитель
Group Icon
Группа: Модераторы
Регистрация: 16.05.2010
Пользователь №: 21 553


Если две темы созданы по одной экспертизе, то метастаз аденокарциномы лёгкого в печень можно спутать с внутрипечёночной холангиокарциномой. Может быть и наоборот. wink.gif

Сообщение отредактировал Медик - 29.06.2025 - 19:45
Пользователь offline
К началу страницы
+Ответить с цитированием
доктор морфолог
сообщение 4.11.2025 - 18:07
Сообщение #5


Мастер I

Группа: СМЭ
Регистрация: 5.12.2013
Пользователь №: 38 421


Цитата(новичок014 @ 28.06.2025 - 12:59)
опухоль печени с метастазами в головной мозг, легкие

Холангиокарцинома ,но нужна ИГХ верификация
Пользователь offline
К началу страницы
+Ответить с цитированием




- Обратная связь Сейчас: 5.11.2025 - 16:33