Здравствуйте, гость ( Вход | Регистрация )

Форум судебных медиков России
2 страниц V < 1 2  
>

Тяжкий вред ?, Разрыв лёгкого ?

>
Zима
сообщение 28.11.2025 - 19:05
Сообщение #16


Продвинутый участник

Группа: СМЭ
Регистрация: 8.08.2014
Из: Белый город
Пользователь №: 40 074


Цитата(Джек @ 27.11.2025 - 21:31)
полость 10\12\3мм- т.е. сантиметр на сантиметр и толщиной 0,3-разрыв и тяжкий вред? не, я б тут уперся- сущность вреда не ясна ...как на таком участочке рентгенолог разрыв увидел? обрывки альвеол торчали?

Я попросила рентгенолога сделать сканы этих разрывов, если они есть. Обязательно здесь прикреплю фото и результаты.
Пользователь offline
К началу страницы
+Ответить с цитированием
Zима
сообщение 9.12.2025 - 15:53
Сообщение #17


Продвинутый участник

Группа: СМЭ
Регистрация: 8.08.2014
Из: Белый город
Пользователь №: 40 074


добрый день! и вот оно заключение рентгенолога
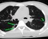
На представленных СК-томограммах на электронном носителе органов грудной полости пациента А №4473 от 23.09.20254 года, №4478 от 24.09.20254 года, №4511 от 28.09.20254 года - визуализируется перелом средней трети левой ключицы по типу «зеленой веточки», без смещения отломков, без признаков консолидации. В грудине дифференцируются зоны роста. Данных за перелом грудины, ребер, грудных позвонков не выявлено. Легкие по всем полям с обеих сторон прилежат к грудной клетке. Данных за пневмоторакс не выявлено. Бронхо-сосудистый рисунок несколько усилен. В задне-медианных отделах S6 правого легкого, на уровне тел позвонков Th5-Th8, на фоне обширной зоны контузии легкого примерным размером до 58х52х20 мм визуализируются две воздушные полости неправильной овальной формы, размером до 26х14х6 мм и до 12х10х3 мм. Полости с небольшими уровнями гетерогенного жидкостного содержимого (кровь). В правом легком: в прикорневой зоне, в S8, S9 визуализируется до 5 очагов контузии легкого по типу «матового стекла» размером от 12х10 мм до 20х15 мм. В левом легком: в S1\S2, в S4 визуализируются до 3 очагов контузии легкого по типу «матового стекла» размером от 11х10 мм до 14х9 мм. Диафрагма обычно расположена. В полости перикарда и в плевральных полостях свободной жидкости не выявлено. Заключение: КТ-картина участков разрыва правого легкого в задне-медианных отделах S6; разнокалиберных зон ушиба в обоих легких. Перелом с\3 левой ключицы без смещения. Травматические изменения могут соответствовать сроку травмы в ДТП от 23.09.2025 года

И снова к вопросу "ТЯЖКИЙ ВРЕД?"
Пользователь offline
К началу страницы
+Ответить с цитированием
Anton
сообщение 9.12.2025 - 18:13
Сообщение #18


Мастер II

Группа: СМЭ
Регистрация: 6.12.2011
Из: Опорный край державы
Пользователь №: 30 279


Очагов и полостей стало больше. То есть, все очень неоднозначно, следовательно, нозологии нет. Мнение. По длительности.
Пользователь offline
К началу страницы
+Ответить с цитированием
Zима
сообщение 11.12.2025 - 18:29
Сообщение #19


Продвинутый участник

Группа: СМЭ
Регистрация: 8.08.2014
Из: Белый город
Пользователь №: 40 074


и снова здравствуйте!
Устно получили консультацию из РЦСМЭ: кратко-нет тяжкого вреда по легким. В совокупности средний вред за счет переломов. Письменно не пожелали ответить)))
Картинки от рентгенолога


Эскизы прикрепленных изображений
Судебная медицина - Прикрепленное изображение Судебная медицина - Прикрепленное изображение
Пользователь offline
К началу страницы
+Ответить с цитированием
Клокин
сообщение 12.12.2025 - 05:23
Сообщение #20


Мастер I

Группа: СМЭ
Регистрация: 23.01.2008
Из: Сибирь
Пользователь №: 7 163


Цитата(Zима @ 28.11.2025 - 19:05)
Я попросила рентгенолога сделать сканы этих разрывов, если они есть. Обязательно здесь прикреплю фото и результаты.

Рентгенолог физически не может видеть разрушение структур такой толщины т.к. толщина срезов не может быть менее 0,5мм, на практике же при исследовании грудной клетки в 80% толщину среза устанавливают 1-1,5мм. Кроме того, если есть травматический "разрыв" легкого, должно быть и кровоизлияние в окружающие ткани, на снимках его нет. Я уже не говорю, что за т.н. разрыв можно запросто принять междолевой промежуток с элементами плеврита.... Я бы на такой диагноз, тем более выставленный рентгенологом, не судебником, не повелся... у нас еще и не такое напишут...
Пользователь offline
К началу страницы
+Ответить с цитированием
Джек
сообщение 14.12.2025 - 14:32
Сообщение #21


Мастер II

Группа: СМЭ
Регистрация: 22.02.2006
Из: Сибирь
Пользователь №: 1 290


Цитата(Anton @ 9.12.2025 - 22:13)
Мнение. По длительности.
согласен, сам бы выставил ушиб легкого и оценивал по длительности ...а то так теоретически любое кровоизлияние хоть куда -уже можно обзывать разрывом- ну. ведь кровь же откуда то вытекла? значит хоть какой-то-но был разрыв, логично же?а что маленький или очень маленький- так законодатель размер разрыва не упомянул ...wink.gif
Пользователь offline
К началу страницы
+Ответить с цитированием

2 страниц V < 1 2



- Обратная связь Сейчас: 15.12.2025 - 04:55