Здравствуйте, гость ( Вход | Регистрация )

Форум судебных медиков России
>   Правила раздела >

Здесь обсуждаются вопросы судебно-медицинской танатологии и судебно-медицинской гистологии.

 
7 страниц V < 1 2 3 4 > »   
>

Жировая эмболия, Этиология, патогенез, диагностика

>
Борода
сообщение 22.12.2004 - 23:08
Сообщение #16


Магистр форума

Группа: Участники
Регистрация: 12.10.2004
Пользователь №: 179


Это не соскоб, а срез. Мы иногда этой "двойной бритвой" пользуемся. Получаются для микроскопа достаточно толстые срезы. Идея заключается в том, что в толстом срезе видны стенки альвеол и не разрезанные сосуды, которые хорошо просвечиваются. Метод очень прост и быстр. Правда красит у нас всё лаборант-гистолог и накрывает препарат предметным стеклом. Обычно после вскрытия сразу суём стекло под микроском и ждём чуда, т.е. "красных червяков". Так выглядят заполненные жиром мелкие легочные артерии.

Мы часто с шефом и коллегами спорим на вскрытии на предмет наличия например жировой эмболии, концентрации СО или алькоголя и прочего. Чтобы долго не ждать, кто "выиграет спор" в случае жировой эмболии достаём из заветного сундучка двойной нож и завём из гистологии лаборантку.

Ножы-бритвы максимально приближаются винтами друг к другу и протягиваются через периферические отделы лёгких, чтобы о бронхи или кальк ножи не затупить. После протягивания нож помещается в воду. Из щели между ножами вымывается "сеточка" 2х1,5 см или около того. Она помещается в чашку петри в водопроводной воде. Если препарат не удачыный, то всю процедуру повторяем. Мне требуются обычно 3, 4 попытки (5 минут). Я эти ножи завтра на вскрытии сфотографирую.
Пользователь offline
К началу страницы
+Ответить с цитированием
Vitalykk
сообщение 23.12.2004 - 15:25
Сообщение #17


Мастер I

Группа: СМЭ
Регистрация: 10.02.2004
Из: Kyiv
Пользователь №: 45


Цитата
Жировая эмболия может наблюдаться при шоке в сочетании с нарушениями микроциркуляции, нарушениями липидного обмена, гипоксией и ДВС- синдромом.
Вы это видили сами?
Чисто механистическое "всасывание" жировых эмболов из вне в кровяное венозное русло могу представить. Не встречал в литературе удобоваримого биохимического обЪяснения образования жирових эмболов внутри кровеносного русла (именно эмболов, а не нейтрального жира как химического вещества) может кто из коллег встречал? Поделитесь.
Пользователь offline
К началу страницы
+Ответить с цитированием
Борода
сообщение 23.12.2004 - 16:39
Сообщение #18


Магистр форума

Группа: Участники
Регистрация: 12.10.2004
Пользователь №: 179


Обещанные спаренные ножи.
Как сегодня выяснил - затупились. Отдадим на заточку. Препарат сегодня получился из-за этого не очень... Автотравма, старушка 89 лет... Сейчас в микроскоп заглянул, а там "сплошная жировая эмболия". Фотографировать через микроскоп некогда, но на следующей неделе постараюсь поставить фото препарата, который я сегодня на вскрытии этими ножами сделал.

Судебная медицина - Прикрепленное изображение
Пользователь offline
К началу страницы
+Ответить с цитированием
Борода
сообщение 23.12.2004 - 17:07
Сообщение #19


Магистр форума

Группа: Участники
Регистрация: 12.10.2004
Пользователь №: 179


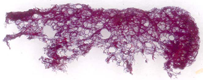
Для того, чтобы сложилось представление о размерах препарата сфотографировал сейчас предметное стекло.

Даже на простой фотографии без микроскопа виден красно окрашенный жир в мелких сосудах.

Фотографию через микроскоп сегодня сделать не успею. Описание случая и микрофото - на следующей неделе.

Судебная медицина - Прикрепленное изображение Судебная медицина - Прикрепленное изображение
Пользователь offline
К началу страницы
+Ответить с цитированием
FILIN
сообщение 23.12.2004 - 18:01
Сообщение #20


ГУРУ ФСМ
Group Icon
Группа: Модераторы
Регистрация: 22.08.2004
Из: Владимирская губерния
Пользователь №: 116


Уважаемый Борода!
Спасибо за фотографии и подробное описание "орудия".
В России о нем наверняка мало кто помнит. Ведь мой пост о 40-50г. - это скорее шутка.
Не знал, что в мире этот экспресс-метод еще практикуется.
Хотя сам пытался сделать нечто подобное из обычных лезвий - получалось, но плохо - очень толстые срезы.
Пользователь offline
К началу страницы
+Ответить с цитированием
FILIN
сообщение 23.12.2004 - 18:09
Сообщение #21


ГУРУ ФСМ
Group Icon
Группа: Модераторы
Регистрация: 22.08.2004
Из: Владимирская губерния
Пользователь №: 116


Цитата(Vitalykk @ 23.12.2004 - 15:25)
В чисто механистическое "всасывание" жировых эмболов из вне в кровяное венозное русло могу представить.
Вот так и я НЕ могу представить ничего механистического в биологических организмах.

Цитата
Не встречал в литературе удобоваримого биохимического обЪяснения образования жирових эмболов внутри кровеносного русла (именно эмболов, а не нейтрального жира как химического вещества) может кто из коллег встречал? Поделитесь.
Извините, Виталий, но просто у меня нет рядом архива с подшивкой журналов СМЭ. Попробуйте сами найти эту статью Н.Асмоловой и М.Ривенсона. Опубликована где-то в 1980-1984 г. В ней и подробно расписан и механизм образования таких жировых "псевдоэмболов".
Пользователь offline
К началу страницы
+Ответить с цитированием
Олег
сообщение 24.12.2004 - 23:36
Сообщение #22


Гость






Просмотрел свои акты с причиной смерти от жировой эмболии - из них 100% умерли в стационаре. Типичная клиника жировой эмболии описана в единичных случаях, которые привожу ниже. Обычно либо в палате обнаруживают труп (как с указаннгой бабушкой), либо больного доставляют в больницу с тяжелым травматическим шоком в коме.
1 случай (очань похожая бабушка с переломом 2-х ребер и грудины):
пострадавшая В. была доставлена машиной скорой помощи 18.11. в 17.25. Со слов была сбита автомашиной в районе парка при переходе дороги около 30 мин. назад. Жалобы на боли в левой половине грудной клетки, левой голени, правой кисти. Общее состояние больной относительно удовлетворительное. Кожные по-кровы и слизистые бледные. В легких хрипов нет. Дыхание проводится во все отделы. Живот не вздут, участвует в акте дыхания. Симптомов раздражения брюшины нет. АД 100/60 мм рт. ст. Пульс 84 удара в минуту. Печень, почки и селезенка не увеличены. Локально: На правой кисти на тыле скальпированная рана 10x4 см с дефектом кожи. На левой голени в средней трети кровоподтек 15x15 см. Пальпация левой половины грудной клетки умеренно болез-ненная. Диагноз при поступлении: Скальпированная рана правой кисти. Ушибы левой поло-вины грудной клетки и левой голени. Произведена пер-вичная хирургическая обработка раны правой кисти, наводящие швы. Асептическая повязка.
В 17.25 Осмотр нейрохирурга. Со слов больной пострадала в дорожно-транспортном происшествии. Сознание не теряла. Ад - 110/70 мм рт. ст. Жалобы на боли в области левой половины грудной клетки, правой кисти. Ссадина теменной области 1x1 см. Неврологический статус: Без очаговой и менингеальной симптоматики. Нарушений чувствительности нет. Нистагма нет. ЭХО-ЭГ - без смещения срединных структур. Краниограмма без переломов. Диагноз: ссадина мягких тканей головы. Туалет ссадин.
18.11. в 20.30 Осмотр дежурного реаниматолога. Состояние средней тяжести. В созна-нии. АД 120/60 мм рт. ст. Ориентирована в пространстве, времени, себе. Пульс 96 ударов в минуту. Зрачки равны. Фотореакция живая. Кашлевые, глоточные рефлексы живые. Кожа бледная, теплая, сухая. Дыхание самостоятельное, адекватное, везикулярное, равномерно проводится по всем отделам. Тоны сердца приглушены, ритм правильный. Живот мягкий, равномерно участвует в акте дыхания, безболезненный.
18.11. в 23.30 Осмотр травматолога. Общее состояние средней тяжести. Кожа и слизи-стые бледные, сухие, АД 110/70 мм рт. ст. Пульс 88 ударов в минуту. Дыхание проводится во все отделы. Живот не вздут, участвует в акте дыхания, при пальпации мягкий, безболезнен-ный.
19.11. в 7.50 Осмотр дежурным реаниматологом совместно с зав. ИТАР. Вызван де-журный травматолог. АД 70/50 мм рт. ст. Состояние больной ухудшилось. Оглушена, ко-манды по осмотру выполняет с трудом. Пульс 108 ударов в минуту. Зрачки среднего диаметра, равны, фотореакции сохранены. Кожа бледная, теплая, влажная. Дыхание самосто-ятельное, проводится по всем полям, в нижних отделах жесткое, единичные мелкопузырча-тые хрипы.
19.11. в 7.55 больная доставлена в ИТАР. Состояние тяжелое. Оглушена, сопор. Зрач-ки среднего диаметра, равны, фотореакция угнетена. Кожа бледная, влажная, теплая. Дыха-ние самостоятельное. Брадипное. Произведена интубация трахеи.
19.11. в 8.02 Сознание отсутствует. Тотальная адинамия, арефлексия, анестезия. Диф-фузная бледность кожи. АД не определяется. Пульс на сонных артериях не определяется. Реанимационные мероприятия без эффекта.
19.11. в 8.20 констатирована смерть больной.

Клиника как в книжке.
К началу страницы
+Ответить с цитированием
Олег
сообщение 24.12.2004 - 23:45
Сообщение #23


Гость






2-й случай
Больная поступила 12.12. в 21.30 с жалобами на боли в правых коленном и тазобедренном суставах. Со слов – травма в быту. Сегодня около часа назад на улице толкнул неизвестный. Доставлена бригадой скорой медицинской помощью. Общее состояние удовлетворительное. Кожа и слизистая обычной окраски. В лёгких хрипов нет. АД 140/90 мм рт. ст. Пульс 74 в мин. Живот мягкий безболезненный во всех отделах. Печень, почки и селезёнка не увеличены. Локальный статус: Укорочение правой нижней конечности на 2 см, наружная ротация стопы. На коленном суставе рана 4х0,5 см. На рентгенограмме перелом шейки бедра. Диагноз: Закрытый перелом шейки правого бедра со смещением. Ушибленная рана правого коленного сустава. Под местной анестезией ПХО раны коленного сустава. Скелетное вытяжение за бугристость правой большеберцовой кости с грузом 6 кг.
12.12. 21.35 Нейрохирург. Со слов больной травма уличная без потери сознания. Жалоб со стороны ЦНС и неврологических расстройств нет. На кожной части верхней губы имеются множественные мелкие ссадины и две ушибленные раны до 5 и 10 мм длиной, кро-воподтек багрового цвета. Диагноз: Ушибленные раны, ссадины и ушиб мягких тканей лица.
13.12. 7.00. Ночь провела спокойно. Спала. Жалобы на боли в месте перелома. В легких везикулярное дыхание. АД 140/90 мм рт. ст. Пульс 74 уд в мин. Живот мягкий, безболез-ненный.
13.12. На рентгенограмме правого тазобедренного сустава от 12.12. отмечается перелом шейки правого бедра кости со смещением проксимально до 1 см и меди-ально до 2 см, с варусной позицией бедренной кости, отмечается подкожная и мышечная эмфизема правой половины таза и ягодичной области. Подозрение на перелом седалищной кости. Дообследовать правую седалищную и копчик в 2-х проекциях.
16.12. 12.40. Состояние больной тяжёлое. Жалобы на выраженную слабость. Кожные покровы обычной окраски. Дыхание везикулярное, хрипов нет. АД 110/70 мм рт. ст., пульс 110 в мин. Живот при пальпации мягкий безболезненный. Спица скелетного вытяжения снята, хирургически швы на ране правого коленного сустава сняты, отмечается поступление гнойного отделяемого. Перевязка с хлоргексидином, резиновые дренажи.
16.12. 13.45. Нейрохирург. Состояние больной тяжёлое, оглушена. Инструкции вы-полняет. АД 40/0 мм рт. ст. Пульс не прощупывается. Зрачки равны, фотореакции сохранены. Рефлексы равны. Менингеальных знаков нет. ЭхоЭГ – смещения нет. Заключение: ушибленные раны, ссадины и ушиб мягких тканей лица.
16.12. 14.00 Состояние больной тяжёлое, контактна, беспокоит боль в правом тазо-бедренном суставе. АД 40/0 мм рт. ст., пульс 120 в мин. Переведена в реанимационное отделение.
16.12. 20.00 Состояние ухудшается несмотря на проводимую интенсивную терапию. Сознание сопорозное. Зрачки равны, фотореакции вялые. Дыхание спонтанное. Тахипноэ до 40 в мин с элементами периодизации. АД не определяется несмотря на коррекцию декстра-нами, вазопрессорами. Перевод на ИВЛ. Перистальтика кишечника вялая. Диурез снижен. Температура 36,4°
16.12. в 21.30 на фоне кране тяжелого состояния произошла остановка сердечной деятельности. Проведены реанимационные мероприятия, без успеха, в 22.00 констатирована биологическая смерть.

Большой пардон за объемные посты (правильно обозвал?)
все ради Молодой и Зеленой
"Если женщина что-то хочет, ей надо обязательно это дать, иначе она возьмет сама" (Человек с бульвара Капуцинов, аптекарь) smile.gif biggrin.gif tongue.gif
Всем счастья.
К началу страницы
+Ответить с цитированием
Vitalykk
сообщение 27.12.2004 - 14:36
Сообщение #24


Мастер I

Группа: СМЭ
Регистрация: 10.02.2004
Из: Kyiv
Пользователь №: 45


Цитата
Извините, Виталий, но просто у меня нет рядом архива с подшивкой журналов СМЭ. Попробуйте сами найти эту статью Н. Асмоловой и М. Ривенсона. Опубликована где-то в 1980-1984 г. В ней и подробно расписан и механизм образования таких жировых "псевдоэмболов".
Посмотрел. За 70-80 годы есть только одна их совместная статья о изменениях миокарда при смерти от перохлаждения оргнизма, но там ни чего о жировых эмболах не нашел.
Пользователь offline
К началу страницы
+Ответить с цитированием
Борода
сообщение 27.12.2004 - 17:03
Сообщение #25


Магистр форума

Группа: Участники
Регистрация: 12.10.2004
Пользователь №: 179


Обещанная микрофотография.
Заморозка это хорошо! Посмотрел сейчас "замороженную" фотографию от уважаемого Валерия. Сравнил с моей "исторической" "по Пирогову" если использовать терминологию нашего гистолога и спрашиваю теперь всех уважаемых коллег. Чем вам не нравится этот простой, быстрый и дешёвый метод диагностики жировой эмболии лёгких?

Представьте себе, что "Пирогов" и "Заморозка" собрались продать свои методы какому-либо толстосуму от здравоохранения и кладут на стол для сравнения обе фотографии. Какой метод тостосум купил бы для наприм. районного отделения СМЭ?
Не уверен я за "заморозку" к которой ещё и лабораторию и "спецов" да ремонтников надо.
Не всегда всё новое автоматически лучше во всех случаях жизни.

Судебная медицина - Прикрепленное изображение
Пользователь offline
К началу страницы
+Ответить с цитированием
Vitalykk
сообщение 27.12.2004 - 17:36
Сообщение #26


Мастер I

Группа: СМЭ
Регистрация: 10.02.2004
Из: Kyiv
Пользователь №: 45


Статья о жировой эмболии с урологического сайта - http://urology.com.ua/article343.html

Вот ссылка на вестник хирургии - http://korolenko.kharkov.com/m/viewdoc.pl?num=11938

Как говорится: век живи - век учись. Приходится верить Зильберу.
Пользователь offline
К началу страницы
+Ответить с цитированием
Борода
сообщение 27.12.2004 - 17:53
Сообщение #27


Магистр форума

Группа: Участники
Регистрация: 12.10.2004
Пользователь №: 179


Мы оцениваем жировую эмболию следующим образом:
0 - единичные мелкие капельки обнаруживаемые при систематическом исследовании в некоторых полях зрения
1 - лёгкой степени - единичные капельки жира видны в каждом поле зрения
2 - средней степени - множественные капельки жира в каждом поле зрения
3 - тяжёлой степени - больше половины капилляров в каждом поле зрения содержат капли жира или жиром заполнены целые фрагменты сосудов.

Для наступления смерти от жировой эмболии, кажется по Bratzke, достаточно 20-30 гр. жира. Смертельная правосторонняя сердечная недостаточность может наступить, по клиническим данным, уже при закрытии 1/3 легочных капилляров (как это они померили я, правда, себе плохо представляю). Для ослабленных, стариков и больных легочными заболеваниями для наступления смерти достаточен и меньший объём жира.

Гистологически обнаруживается жировая эмболия чаще в задних отделах лёгких, поэтому при подозрении на таковую лучше вырезать кусочки именно с задней поверхности лёгких.

У меня было также три или четыре смертельных случая с массивной жировой эмболией после эндопротезирования тазобедренного сустава. При вколачивании гвоздя протеза головки в диафиз бедренной кости костный мозг попадал в больших количествах в кровеносное русло. Ни один случай до суда не дошёл, так как это известное осложнение таких операций. В одном случае хирург применил не совсем правильную методику "посадки" гвоздя, которая часто ведёт к таким осложнениям и поэтому не применяется уже в течении многих лет, но доказать мы это для прокуратуры, в результате, не смогли. Клиницист-травматолог в своём заключении всё сильно "смягчил".

Микрофотография (см. выше) с жировой эмболией средней степени. Случай вскрыл на прошлой неделе. Старушку 89 лет (вес 67 кг рост 156 см) сбил при пересечении проезжей части грузовой автомобиль. Скорость столкновения, по нашим оценкам 10-20 км/час. Потерпевшая была незамедлительно доставлена в больницу, где умерла примерно 5 часов позднее. Повреждения: переломы 6 рёбер слева и 6 рёбер справа. Неполный стабильный перелом горизонтальной ветви лобковой кости. Линейный перелом основания черепа исходящий из центра затылочной кости над которым находилась ушибленная рана 2х1 см. ЧМТ. На левой поверхности бедра размозжение мягких тканей с кровоизлиянием 8х7 см. Как видно из микрофотографии, этого хватило для жировой эмболии средней степени.
Пользователь offline
К началу страницы
+Ответить с цитированием
FILIN
сообщение 27.12.2004 - 19:17
Сообщение #28


ГУРУ ФСМ
Group Icon
Группа: Модераторы
Регистрация: 22.08.2004
Из: Владимирская губерния
Пользователь №: 116


Спор - "что лучше?" корректен только когда у Вас есть и замораживающий микротом и спецножи. У меня в отделении нет ни того, ни другого. Поэтому, уважаемые коллеги, снизойдите к нашей малости.

Уважаемый Борода.

Еще в советский период Главное Бюро СМЭ СССР распространило письмо "Судебно-медицинская диагностика и оценка травматической жировой эмболии",1989г., составленное Адкиным и Кинле. В нем, в частности, приводится таблица оценки степени тяжести жировой эмболии (откуда взята таблица - не указано). Данные из этой таблицы и данные приведенные Вами в оценке ("слабая" и "очень сильная") существенно расходятся.

Ваш последний случай интересен, но я бы связал жировую эмболию скорее с переломом 12-ти ребер, нежели с размозжением небольшого участка жировой клетчатки.
И, в свете более ранних постов, у женщины проводили исследование на сахар крови? И каков результат?
Пользователь offline
К началу страницы
+Ответить с цитированием
Vitalykk
сообщение 28.12.2004 - 12:03
Сообщение #29


Мастер I

Группа: СМЭ
Регистрация: 10.02.2004
Из: Kyiv
Пользователь №: 45


Вестник хирургии им. И.И.Грекова. Т.159, №5. 2000 С.100
В.А. Черкасов, С.Г. Литвиненко, А.Г. Рудаков, А.М. Надымов

Жировая эмболия возникает наиболее часто при переломах крупных костей и обширных повреждениях тканей, но существуют еще мало изученные причины появления жировой эмболии нетравматического генеза. Диапазон заболеваний и состояний, при которых может возникать жировая эмболия, по данным литературы, расширяется с каждым годом. Мы располагаем двумя наблюдениями жировой эмболии при пан-креонекрозе и сепсисе неясной этиологии.
1. Больной Л., 44 лет, госпитализирован в клинику после злоупотребления алкоголем с жалобами на боли в животе опоясывающего характера, тошноту и рвоту. Общее состояние тяжелое, признаки интоксикации, живот напряженный, болезненный, положительный симптом Щеткина—Блюмбер-га, язык сухой, перистальтика не выслушивается, задержка стула и газов. Показатели «красной» крови и мочи в пределах нормы. Отмечается лейкоцитоз до 22,5х109/л, гипергликемия 11,7 ммоль/л. С предварительным диагнозом: острый панкреатит, перитонит — больной оперирован.
Выполнена срединная лапаротомия. Подкожный жировой слой был с участками некроза серо-зеленого цвета. В брюшной полости — геморрагический выпот, бляшки сте-атонекроза, мезоколон инфильтрирована, серого цвета. Поджелудочная железа отечная, черного цвета. Произведены удаление поджелудочной железы и участков некроза забрюшин-ной клетчатки, санация и дренирование брюшной полости.
С ИВЛ больной переведен в реанимационное отделение. На следующие сутки после операции при контрастной микроскопии сыворотки венозной крови с насыщенным спиртовым раствором Судана IV выявлены 75 жировых глобул диаметром от 14 до 735 мкм. Поставлен диагноз: венозная форма жировой эмболии. Произведена гемосорбция, после которой жировых глобул в крови не обнаружено.
На следующие сутки состояние больного резко ухудшилось, появились нарушения микроциркуляции в конечностях, неустойчивая гемодинамика, отек легких и головного мозга, ДВС-синдром. На фоне сердечно-легочной недостаточности, отека легких и головного мозга наступила смерть.
На вскрытии — острый панкреонекроз, забрюшинная флегмона, разлитой фибринозно-гнойный перитонит, «шоковые почки и легкие», отек мозга, массивная жировая эмболия. Причина смерти — полиорганная недостаточность.


2. Больная Б., 42 лет, госпитализирована с жалобами на боли в животе, озноб, гипертермию, «мелькание мушек перед глазами». При поступлении состояние тяжелое, энцефалопатия, АД 80/40 мм рт. ст., пульс — 130 уд/мин, дыхательная недостаточность. Живот мягкий, болезненный в нижних отделах, слабоположительный симптом Пастернацкого. Выявлены умеренная анемия, лейкоцитоз до 26,7хЮ9/ л, азотемия, гипокоагуляция, в моче белок и 80—100 лейкоцитов в п/зр. Из крови высеяна синегнойная палочка.
Поставлен предварительный диагноз: сепсис, печеночно-почечная недостаточность, септический шок, ДВС-синдром: геморрагическая лихорадка с почечным синдромом?, отравление неизвестным ядом? В связи с нарастанием дыхательной недостаточности больная была интубирована и переведена на ИВЛ, проводили интенсивную терапию и гемодиализ.
При УЗИ и лапароскопии органов брюшной полости и забрюшинного пространства патологических отклонений не обнаружено. При рентгенографии легких отмечена инфильтрация сливного характера по типу «снежной метели». Наблюдалось снижение рО2 в крови до 21,6 мм рт. ст. На эхокар-диограмме — признаки легочной гипертензии и дилатация правого желудочка. При исследовании глазного дна определялись геморрагии сетчатки левого глаза. На 4-е сутки с момента поступления произведена контрастная микроскопия сыворотки крови с Суданом IV. В крови из подключичной вены жировые глобулы не обнаружены, в крови из бедренной артерии выявлены 115 жировых глобул от 14 до 73 мкм. Поставлен диагноз: артериальная форма жировой эмболии.
Состояние больной после 5 сеансов гемодиализа, 4 ге-мотрансфузий и интенсивной антибактериальной терапии не улучшилось. На фоне сердечно-легочной недостаточности и полиорганных нарушений на 18-е сутки наступила смерть. На вскрытии — умеренная гипостатическая пневмония, хронический пиелонефрит, некроз стенки мочевого пузыря, отек легких и головного мозга, жировая эмболия. Смерть наступила от полиорганной недостаточности.
Поступила в редакцию 11.01.2000 г.
Пользователь offline
К началу страницы
+Ответить с цитированием
Борода
сообщение 28.12.2004 - 13:05
Сообщение #30


Магистр форума

Группа: Участники
Регистрация: 12.10.2004
Пользователь №: 179


Цитата
И, в свете более ранних постов, у женщины проводили исследование на сахар крови? И каков результат?
В моче, крови и ликворе повышенного уровня сахара не отмечалось.

Цитата
Данные из этой таблицы и данные приведенные Вами в оценке ("слабая" и "очень сильная") существенно расходятся.
Хотелось бы посмотреть на таблицу. Если она не очень большая и это не очень Вас обременит, то прошу коротко изложить её содержание.
Пользователь offline
К началу страницы
+Ответить с цитированием

7 страниц V < 1 2 3 4 > » 



- Обратная связь Сейчас: 9.11.2025 - 08:28