Здравствуйте, гость ( Вход | Регистрация )

Форум судебных медиков России
3 страниц V  1 2 3 >  
>

Заочное повышение квалификации, Решение судмедзадач на форуме

>
Борода
сообщение 28.01.2005 - 02:03
Сообщение #1


Магистр форума

Группа: Участники
Регистрация: 12.10.2004
Пользователь №: 179


Коллеги! Решил я конкретно воспользоваться первыми плодами нашего горячо любимого ФСМ. На прошлой неделе привезли труп неизвестной женщины. После вскрытия оказалось, что скоропостижка. Ничего интересного и криминального, но остался вопрос идентификации. Случай не горящий и поэтому нас так вяло, для порядка, спросили про возраст потерпевшей. Думаю, что её скоро идентифицируют, но я решил проверить таблицы по зубам, которые FILIN выложил. Взял сразу самую "хорошую" в смысле простую и понятную таблицу для быстрой “прикидки” возраста Маскина П.А.

- к 25 годам – незначительная потертость на жевательной поверхности резцов;
- к 30 годам – небольшое обнажение дентина резцов с начальными явлениями стирания бугров жевательных зубов;
- к 35 годам – резкое обнажение дентина резцов, выраженная потертость бугров жевательных зубов;
- к 40 годам – уменьшение высоты резцов за счет стертости, обнажение дентина жевательных зубов;
- к 45 годам – выраженная стертость резцов и жевательных зубов, выпадение отдельных зубов;
- с 50 лет – постепенное кратерообразное углубление центральных отделов жевательных зубов;
- к 60 годам – значительная стертость выравнивает поверхность жевательных зубов.

Предлагаю "попробовать свои силы" в определении возраста по зубам всем желающим. Пока называть возраст, который я поставил не буду, чтобы не "оказывать давления". Я опять же весь труп видел. Но останемся при зубах.
Господа интерны и у всех у кого "руки чешутся" прошу мне помочь в решении этой задачи.
Через некоторое время сообщу, что у меня самого по возрасту получилось.


Эскизы прикрепленных изображений
Судебная медицина - Прикрепленное изображение
Пользователь offline
К началу страницы
+Ответить с цитированием
Борода
сообщение 28.01.2005 - 02:07
Сообщение #2


Магистр форума

Группа: Участники
Регистрация: 12.10.2004
Пользователь №: 179


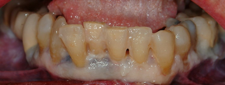
Нижняя челюсть.


Эскизы прикрепленных изображений
Судебная медицина - Прикрепленное изображение
Пользователь offline
К началу страницы
+Ответить с цитированием
Мих
сообщение 28.01.2005 - 08:28
Сообщение #3


Знаток форума
Group Icon
Группа: СМЭ
Регистрация: 10.10.2004
Пользователь №: 173


навскидку это молодая женщина, не старше 25 лет, хотя фотографии не очень - плохо видна жевательная поверхность. Нет указания в условии на прикус
Пользователь offline
К началу страницы
+Ответить с цитированием
FILIN
сообщение 28.01.2005 - 10:27
Сообщение #4


ГУРУ ФСМ
Group Icon
Группа: Модераторы
Регистрация: 22.08.2004
Из: Владимирская губерния
Пользователь №: 116


Уважаемый Борода!
С удовольствием приму участие к конкурсе. Но Вы задаете явно не посильную задачу.
1. Неуказан прикус.
2. НЕ указана степень стирания зубов на верхней челюсти - резцы на ней стираются со стороны лингвальной поверхности, которая на фотографиях не видна.
3. Даже с учетом проходного случая - зубы перед исследованием рекомендуется подготавливать (как любой объект), в частности - убрать желтизну и наложения почистив их щеткой с 3проц. р-ром перекиси водорода.

А пока, с учетом тех трудностей, которые имеются, недостаточным обзором большинства зубов, появление полоски дентина на всех резцах и начальные почвления дентина на клыках, отсутствие правой нижней 6(если правильно разглядел) - возраст примерно 31-35лет.
Пользователь offline
К началу страницы
+Ответить с цитированием
Vitalykk
сообщение 28.01.2005 - 15:50
Сообщение #5


Мастер I

Группа: СМЭ
Регистрация: 10.02.2004
Из: Kyiv
Пользователь №: 45


По фотографии 20-25.
Фотографии сами по себе хорошие, но для установления степени стертости проблематичны. Может лучше выложить схему с учазанием степени стертости?
Пользователь offline
К началу страницы
+Ответить с цитированием
Борода
сообщение 29.01.2005 - 23:29
Сообщение #6


Магистр форума

Группа: Участники
Регистрация: 12.10.2004
Пользователь №: 179


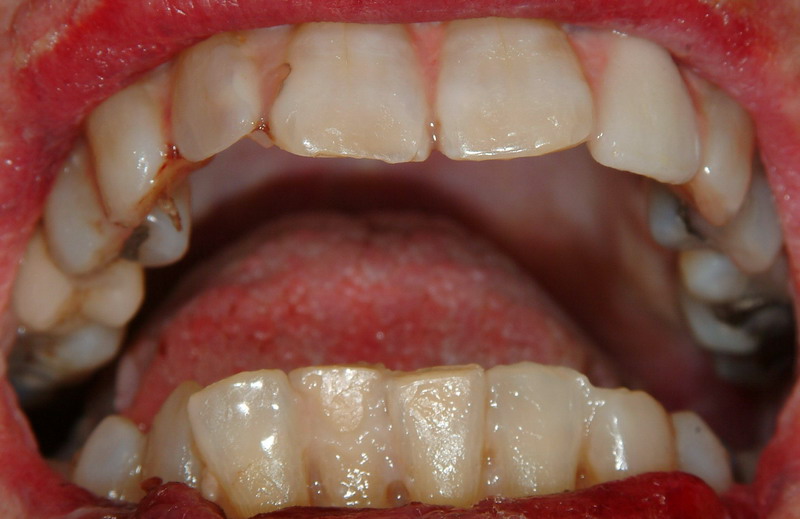
Верхняя челюсть.


Эскизы прикрепленных изображений
Судебная медицина - Прикрепленное изображение
Пользователь offline
К началу страницы
+Ответить с цитированием
FILIN
сообщение 30.01.2005 - 01:31
Сообщение #7


ГУРУ ФСМ
Group Icon
Группа: Модераторы
Регистрация: 22.08.2004
Из: Владимирская губерния
Пользователь №: 116


Совсем другое дело. Изменяю возраст на 25-30л.

Вопрос: как делались такие снимки? (модель фотоаппарата?)
Пользователь offline
К началу страницы
+Ответить с цитированием
Борода
сообщение 2.02.2005 - 16:36
Сообщение #8


Магистр форума

Группа: Участники
Регистрация: 12.10.2004
Пользователь №: 179


Цитата
(модель фотоаппарата?)

Fuji Pro S-2, объектив Nikkor от Nikon со сменным фокусным расстоянием (28-135мм). Использовалась дополнительная, внешняя лампа- вспышка, диафрагма была полностью закрыта 22.
Пользователь offline
К началу страницы
+Ответить с цитированием
smed
сообщение 4.02.2005 - 21:40
Сообщение #9


Продвинутый участник

Группа: СМЭ
Регистрация: 23.08.2004
Пользователь №: 122


По таблице получается 25-30 лет.

Но вот смотрю я на пломбы. Сейчас уже такие не ставят, ставили в годах 90-х. Может тогда около 35-40 лет. Но это так от себя.
Пользователь offline
К началу страницы
+Ответить с цитированием
Борода
сообщение 8.02.2005 - 14:50
Сообщение #10


Магистр форума

Группа: Участники
Регистрация: 12.10.2004
Пользователь №: 179


Уважаемые Мих, Filin, Vitalykk, smed!
Большое вам спасибо за участие в тестировании "зубной таблицы" г-на Маскина П.А.!
Женщину однозначно идентифицировали. Выставил этот случай на всеобщее обозрение потому, что уже на вскрытии мы все с удивлением разглядывали эти зубы. Труп типичной старушки с остеопорозом, выраженным атеросклерозом аорты, возрастной эмфиземой лёгких. Мы попожимали плечами, головами покачали, но всё объяснить в биологии нельзя. Наш шеф ещё сказал, что эта женщина видимо никогда не "обдирала" зубной налёт зубными щётками и не "травилась" зубной пастой. По внешнему виду и по сотоянию внутренних органов старушке было явно за 60 лет. Видя это несоответствие я и решил выставить этот, с моей точки зрения, интересный случай на форум. У меня есть и фотографии трупа, но выставлять их не хочу, т.к. по внешнему виду трупа можно идентифицировать личность, что противоречит правилам форума, да и здравому смыслу.

Теперь нам сообщили возраст этой старушки.
Господа эксперты! На фотографиях вы видите зубы 82 летней женщины.
Пользователь offline
К началу страницы
+Ответить с цитированием
FILIN
сообщение 8.02.2005 - 18:25
Сообщение #11


ГУРУ ФСМ
Group Icon
Группа: Модераторы
Регистрация: 22.08.2004
Из: Владимирская губерния
Пользователь №: 116


Уважаемый Борода.
Спасибо за интересный случай. Обязательно оставлю в своем архиве вотографии.
В моей практике нечто подобное было года четыре назад - неизвестный мужчина обнаружен в лесу, давность смерти 6-12мес. ПО степени стертости зубов - максимум 30л. Был безуловно опознан (практически сразу) - окзалось - 64г. Всю жизнь прожил в деревне.

О чистке зубов - вероятнее всего - шутка.
А вот предположить о врожденной (генетической) повышенной прочности эмали к истиранию - кажется допустимым.
Пользователь offline
К началу страницы
+Ответить с цитированием
Bond
сообщение 8.02.2005 - 19:18
Сообщение #12


Гость






Приветствую всех коллег!!!
Отдельная благодарность господину "Бороде" - за
отличные снимки и за быстрый урок! Я себе поставил "2" с минусом! Но зубы почистить не помешало бы (но знающие и так определили). Вот это "судебка"!
Спасибо "Борода"!
С огромным уважением bond
К началу страницы
+Ответить с цитированием
Борода
сообщение 16.06.2005 - 22:15
Сообщение #13


Магистр форума

Группа: Участники
Регистрация: 12.10.2004
Пользователь №: 179


Уважаемые коллеги!
В рамках основной темы предлагаю всем начинающим судмедэкспертам ситуационную задачку №2 из моего сегодняшнего случая со вскрытии. Акт ещё не закончен, так что прошу выссказываться по случаю.

Обстоятельства: Пожилой мужчина находясь судя по описаниям двух свидетелей (оба тоже пьяные) в сильной стадии алкогольного опьянения шёл неуверенно, сильно покачиваясь и толкая рядом с собой велосипед, т.к. ехать на нём похоже не мог. Был потерян свидетелями из вида. Шёл к ж/д путям. При попытке пересечь ж/д пути попадает под товарняк, который двигается со скоростью 20-25 км/ч. Машинист тепловоза говорит, что солнце стояло так низко, что он из-за ослепления только непосредственно перед столкновением велосипед заметил. Пострадавшего вообще не видел. Экстренно затормозил, тут же вызвал "органы", те сразу "скорую". Пострадавшего обнаружили рядом с путями в кустах, в 1-2 метрах от рельса. Велосипед покарёжен и лежит на полотне. Голова потерпевшего лежала якобы на бетонном камне или блоке, который лежал в кустах. Минут через 10 приехал врач скорой помощи, потерпевшего вытащили из кустов, он был ужё мертв.

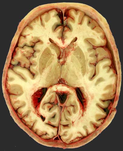
На вскрытии (примерно 12 часов после обнаружения): Одежда вся разрезана и запачкана кровью. Труп полностью раздет. Трупное окоченение резко выражено. Трупные пятна на задней поверхности, скудные. Признаков гниения нет. Повреждений на теле за исключением головы вообще никаких нет. В левой височной области с переходом на теменную ушибленная рана длиной 5 см с частичным рассечением ушной раковины. В глубине пальпируются кости. В области правой надбровной дуги несколько поверхностных свежих царапин.

Внутреннее исследование: Туловище, шея, конечности абсолютно чистые, без единого повреждения! Черепно-мозговая травма (см. фото). От линейного максимум на 0,3 см вдавленного перелома на границе чешуи левой височной кости (в задней трети, идёт сверху-вниз, сзади-наперёд), который соответствовал ране на коже, отходят трещины и на основание черепа, где видны пероломы левой, правой основной кости и турецкого седла. Твёрдая мозговая оболочка без разрывов. Субдурально крови практически нет. Субарахноидально минимальные кровоизлияния (см. фото) в области удара и противоудара. Признаков сдавления, отёка гол. мозга нет. Ушибов не видно. Единственно, что обращает на себя внимание это смесь крови с ликвором в боковых желудочках, но не очень много.


Эскизы прикрепленных изображений
Судебная медицина - Прикрепленное изображение Судебная медицина - Прикрепленное изображение
Пользователь offline
К началу страницы
+Ответить с цитированием
Борода
сообщение 16.06.2005 - 22:29
Сообщение #14


Магистр форума

Группа: Участники
Регистрация: 12.10.2004
Пользователь №: 179


Умер вроде бы от черепно-мозговой травмы. Ничего другого-то нет! Правда сильный запах алкоголя, но это вроде так себе.. попутно.

Вот представьте себе, что стою теперь рядом с трупом и тереблю бороду. Вскрытие закончено, а от чего хоронить? Ну понятно, что ЧМТ напишу, но самому не понятно отчего же он умер?
Как вы думаете достаточно ли этих повреждений чтобы его от ЧМТ "похоронить"? И от каких конкретно повреждений он вероянее всего умер?

Прошу выссказываться молодых и начинающих не стесняясь. А то не интересно всё только с "зубрами" общаться. Они всегда всё знают wink.gif .


Эскизы прикрепленных изображений
Судебная медицина - Прикрепленное изображение Судебная медицина - Прикрепленное изображение
Пользователь offline
К началу страницы
+Ответить с цитированием
Борода
сообщение 16.06.2005 - 22:34
Сообщение #15


Магистр форума

Группа: Участники
Регистрация: 12.10.2004
Пользователь №: 179


Последнее фото с поверхностью распила/разреза. Никаких ушибов не видно!


Эскизы прикрепленных изображений
Судебная медицина - Прикрепленное изображение
Пользователь offline
К началу страницы
+Ответить с цитированием

3 страниц V  1 2 3 >



- Обратная связь Сейчас: 5.11.2025 - 00:04