Здравствуйте, гость ( Вход | Регистрация )

Форум судебных медиков России
18 страниц V « < 15 16 17 18 >  
>

Судебно-медицинская гистология, актуальность и возможности судебно-медицинской гистологии

>
доктор морфолог
сообщение 18.07.2014 - 18:31
Сообщение #241


Мастер I

Группа: СМЭ
Регистрация: 5.12.2013
Пользователь №: 38 421


Цитата(Anton @ 18.07.2014 - 21:13)
Какие-то они "штампованные". Уж не саркоидоз ли?

Ув.Anton! Не исключение. В пндк еще другие картинки покажу.Нужно отдифференцировать, вышлю на большом увл. Эти гранулемы множественные от милиарного до солидных размеров. Встречаются очаги казеозного некроз, местами на фоне разрастания фиброзной ткани с завихрением, концентрически слоистые без казеозного некроза. Вокруг гранулем плотной фиброзной капсулы не наблюдается. В других гранулемах отмечается массивная угольная пигментация с гиг.клет. ПирЛангса скудными эпителиоидными клетками, множеством лимфоцитов.

Сообщение отредактировал доктор морфолог - 18.07.2014 - 18:32
Пользователь offline
К началу страницы
+Ответить с цитированием
Медик
сообщение 18.07.2014 - 19:05
Сообщение #242


Учитель
Group Icon
Группа: Модераторы
Регистрация: 16.05.2010
Пользователь №: 21 553


Ув.доктор морфолог.
Что в др.органах?
Пользователь offline
К началу страницы
+Ответить с цитированием
доктор морфолог
сообщение 18.07.2014 - 19:17
Сообщение #243


Мастер I

Группа: СМЭ
Регистрация: 5.12.2013
Пользователь №: 38 421


Цитата(Медик @ 18.07.2014 - 22:05)
Ув.доктор морфолог.
Что в др.органах?

Добрый вечер ув.Медик! Ждал кто первым задасть этот вопрос - именно в других органах гранулем нет! На пальцах руки все ногти ввиде часовых стекол. Из анамнеза разнорабочии.
Пользователь offline
К началу страницы
+Ответить с цитированием
Медик
сообщение 18.07.2014 - 20:10
Сообщение #244


Учитель
Group Icon
Группа: Модераторы
Регистрация: 16.05.2010
Пользователь №: 21 553


Солидарен с ув.Антоном.
Пользователь offline
К началу страницы
+Ответить с цитированием
доктор морфолог
сообщение 20.07.2014 - 13:54
Сообщение #245


Мастер I

Группа: СМЭ
Регистрация: 5.12.2013
Пользователь №: 38 421


Цитата(Медик @ 18.07.2014 - 23:10)
Солидарен с ув.Антоном.

Ув.Медик! Результат профессионального обсуждения есть благодаря Вас и Антону. Во первых штампованные гранулемы, во 2-х- в отдельных гранулемах без казеозного некроза с трудом мне удалось найти контуров капиллярного сосуда( м.б. не капилляр, но сосуд мелкого калибра в некоторых гранулемах), в 3-х в гранулемах без казеозного некроза с разрастанием конценитрически слоистой соединительной ткан, если внимательно смотреть видно амилиоиоподобное отложение по ходу волокон с умеренным расслоением, в 4-х нет кальциноза. А стромально-перифокальная массивная лимфоцитарная инфильтрация, отложение угольных пигментов следовало бы увидеть. Но в нескольких бугорках имеется и казеозный некроз. Я пришел к выводу с Вашей помощью что, это - Саркоидоз( Бенье-Бека-Шаумена)-туберкулез. Просьба в разделе фотоиллюстрация нужно изменить фразу, где силикоз на Саркоидоз-туберкулез. Дифдиагностика очень трудная. Ув. коллеги большое спасибо!

Сообщение отредактировал доктор морфолог - 20.07.2014 - 13:56
Пользователь offline
К началу страницы
+Ответить с цитированием
доктор морфолог
сообщение 30.07.2014 - 07:11
Сообщение #246


Мастер I

Группа: СМЭ
Регистрация: 5.12.2013
Пользователь №: 38 421


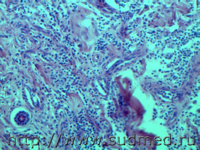
Ув.коллеги! Клинический диагноз атерома молочной железы. Микроскопия:наблюдается частичная деструкция эпидермиса, базальная мембрана не нарушена. Коллагеновые волокна местами набухшие, жировая ткань с мелким очагами круглоклеточной инфильтрации. В сосудах наблюдается лейкоцитоз.Под эпидермисом видно образование кистозной полости, выполненные клеточным детритом , состоящей из лейкоциов, лимфоцитов, макрофагами с примесями многоядерных гигантских клеток по типу инородных тел. Мелкие протоки желез сохранены, просвет сужен за счет отечности и дистрофии эпителии. Что это гнойный мастит с образованием гранулем и микрокист, а Вы как думаете, заранее спасибо. с ув.


Эскизы прикрепленных изображений
Судебная медицина - Прикрепленное изображение Судебная медицина - Прикрепленное изображение Судебная медицина - Прикрепленное изображение Судебная медицина - Прикрепленное изображение Судебная медицина - Прикрепленное изображение Судебная медицина - Прикрепленное изображение Судебная медицина - Прикрепленное изображение Судебная медицина - Прикрепленное изображение Судебная медицина - Прикрепленное изображение Судебная медицина - Прикрепленное изображение
Пользователь offline
К началу страницы
+Ответить с цитированием
доктор морфолог
сообщение 3.06.2015 - 05:54
Сообщение #247


Мастер I

Группа: СМЭ
Регистрация: 5.12.2013
Пользователь №: 38 421


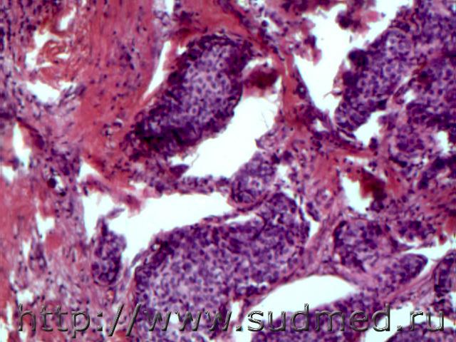
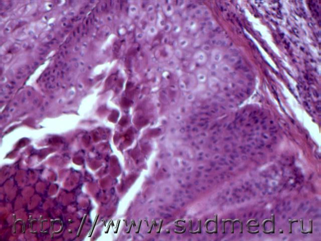
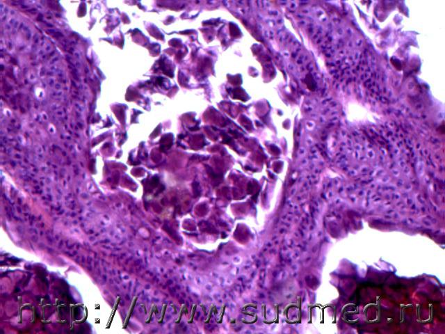
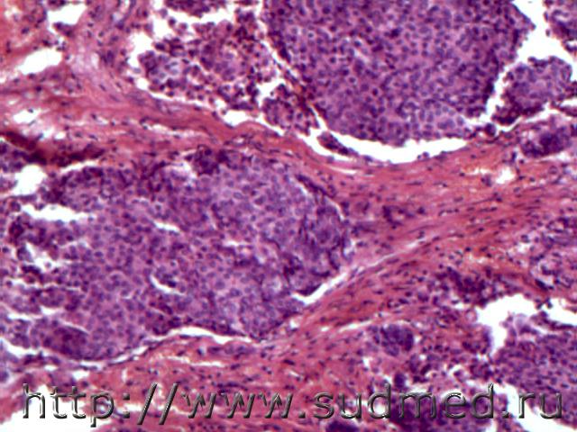
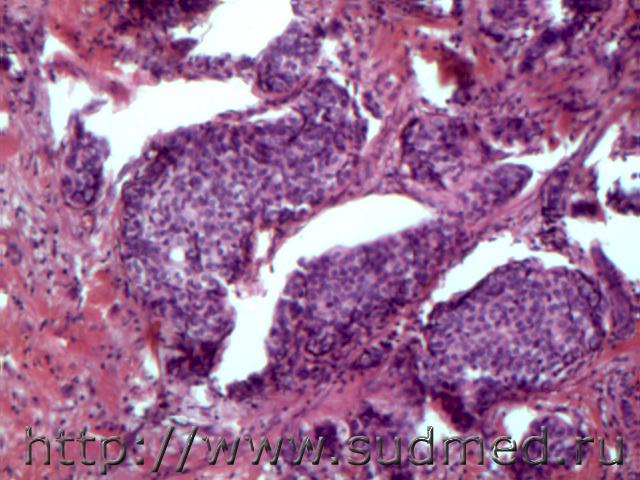
Уважаемые форумчане! М.22года. Опербиоп.материал .Клин.диагноз.Папиллома .локализация не указана. Я предположительно думаю, что не заразительный ли моллюск! Мне кажется с пупочным втяжением возможно был макропрепарат, мне принесли только стекло.Ваше мнение, заранее благодарю! с ув.

Сообщение отредактировал доктор морфолог - 3.06.2015 - 05:56


Эскизы прикрепленных изображений
Судебная медицина - Прикрепленное изображение Судебная медицина - Прикрепленное изображение Судебная медицина - Прикрепленное изображение Судебная медицина - Прикрепленное изображение Судебная медицина - Прикрепленное изображение Судебная медицина - Прикрепленное изображение Судебная медицина - Прикрепленное изображение Судебная медицина - Прикрепленное изображение Судебная медицина - Прикрепленное изображение Судебная медицина - Прикрепленное изображение Судебная медицина - Прикрепленное изображение Судебная медицина - Прикрепленное изображение Судебная медицина - Прикрепленное изображение Судебная медицина - Прикрепленное изображение Судебная медицина - Прикрепленное изображение
Пользователь offline
К началу страницы
+Ответить с цитированием
Anton
сообщение 3.06.2015 - 06:52
Сообщение #248


Мастер II

Группа: СМЭ
Регистрация: 6.12.2011
Из: Опорный край державы
Пользователь №: 30 279


Задачка для онкоморфологов. По наличию некрозов в гнездах крупных (шиповидных?) клеток предположу Малерба.
Пользователь offline
К началу страницы
+Ответить с цитированием
Медик
сообщение 3.06.2015 - 12:55
Сообщение #249


Учитель
Group Icon
Группа: Модераторы
Регистрация: 16.05.2010
Пользователь №: 21 553


Цитата(доктор морфолог @ 30.07.2014 - 08:11)
Клинический диагноз атерома молочной железы.

Эпидермальная киста с воспалением и разрушением стенки.

Цитата(доктор морфолог @ 3.06.2015 - 06:54)
не заразительный ли моллюск

Да,это он.



Сообщение отредактировал Медик - 3.06.2015 - 13:05
Пользователь offline
К началу страницы
+Ответить с цитированием
доктор морфолог
сообщение 3.06.2015 - 15:19
Сообщение #250


Мастер I

Группа: СМЭ
Регистрация: 5.12.2013
Пользователь №: 38 421


Цитата(Медик @ 3.06.2015 - 16:55)
Эпидермальная киста с воспалением и разрушением стенки.
Да,это он.

Спасибо большое всем Коллегам за помощь! С ув.
Пользователь offline
К началу страницы
+Ответить с цитированием
доктор морфолог
сообщение 23.06.2015 - 11:37
Сообщение #251


Мастер I

Группа: СМЭ
Регистрация: 5.12.2013
Пользователь №: 38 421


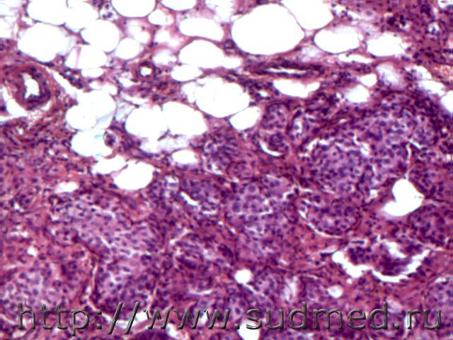
Нужна дифдиагностика. Клин.диагноз:Атерома кожи шеи. М.70лет.
Это цилиндрома кожи или плоскоклеточное зло. Спасибо заранее, Ваши мнения.


Эскизы прикрепленных изображений
Судебная медицина - Прикрепленное изображение Судебная медицина - Прикрепленное изображение Судебная медицина - Прикрепленное изображение Судебная медицина - Прикрепленное изображение Судебная медицина - Прикрепленное изображение Судебная медицина - Прикрепленное изображение Судебная медицина - Прикрепленное изображение Судебная медицина - Прикрепленное изображение Судебная медицина - Прикрепленное изображение Судебная медицина - Прикрепленное изображение Судебная медицина - Прикрепленное изображение
Пользователь offline
К началу страницы
+Ответить с цитированием
Медик
сообщение 23.06.2015 - 13:08
Сообщение #252


Учитель
Group Icon
Группа: Модераторы
Регистрация: 16.05.2010
Пользователь №: 21 553


Цитата(доктор морфолог @ 23.06.2015 - 12:37)
цилиндрома кожи

Вы про эккринную цилиндрому (Шпиглера)?
Пользователь offline
К началу страницы
+Ответить с цитированием
Медик
сообщение 23.06.2015 - 13:20
Сообщение #253


Учитель
Group Icon
Группа: Модераторы
Регистрация: 16.05.2010
Пользователь №: 21 553


Цитата(доктор морфолог @ 23.06.2015 - 12:37)
плоскоклеточное зло.

Больше похоже на беспигментную меланому.
Последнее слово за ИГХ.

Сообщение отредактировал Медик - 23.06.2015 - 13:26
Пользователь offline
К началу страницы
+Ответить с цитированием
доктор морфолог
сообщение 23.06.2015 - 13:58
Сообщение #254


Мастер I

Группа: СМЭ
Регистрация: 5.12.2013
Пользователь №: 38 421


Цитата(Медик @ 23.06.2015 - 16:20)
Больше похоже на беспигментную меланому.
Последнее слово за ИГХ.

Эпмдермиса нет. Тоже из районов. Тоже о БПМ думаю..г
Спасибо!
Пользователь offline
К началу страницы
+Ответить с цитированием
доктор морфолог
сообщение 2.03.2016 - 11:08
Сообщение #255


Мастер I

Группа: СМЭ
Регистрация: 5.12.2013
Пользователь №: 38 421


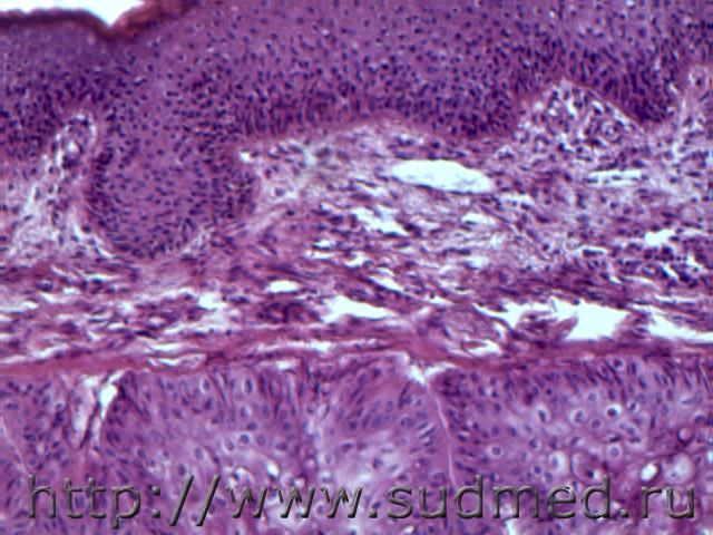
Уважаемые знатоки ФСМ! Представлен вам операционно-биопсииный материал мужчины 55 лет из области глазной орбиты, окраска гематоксилин эозин. Макроскопически несколько штук диаметрами от 1 до 5 мм.Ваш диагноз?

Сообщение отредактировал доктор морфолог - 2.03.2016 - 11:10


Эскизы прикрепленных изображений
Судебная медицина - Прикрепленное изображение Судебная медицина - Прикрепленное изображение Судебная медицина - Прикрепленное изображение Судебная медицина - Прикрепленное изображение Судебная медицина - Прикрепленное изображение Судебная медицина - Прикрепленное изображение
Пользователь offline
К началу страницы
+Ответить с цитированием

18 страниц V « < 15 16 17 18 >



- Обратная связь Сейчас: 4.11.2025 - 13:51